Promotional price valid on web orders only. Your contract pricing may differ. Interested in signing up for a dedicated account number?
Learn More
Learn More
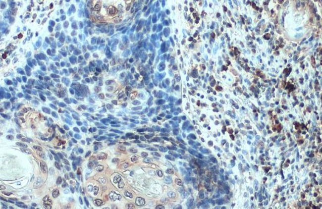
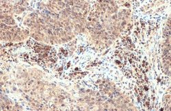
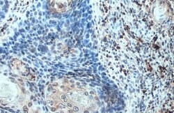
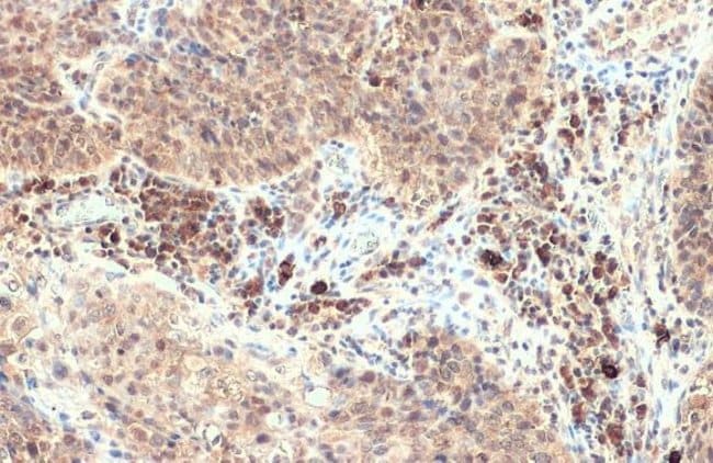
Invitrogen™ CXCL13 Polyclonal Antibody

Rabbit Polyclonal Antibody
Supplier: Invitrogen™ PA528827
Description
Recommended positive controls: CXCL13-transfected 293T. Store product as a concentrated solution. Centrifuge briefly prior to opening the vial.
CXCL13, also known as BCA-1 and Angie, is a small chemokine strongly expressed in the secondary lymphoid organs. It preferentially promotes the migration of B lymphocytes (both B-1 and B-2) to the follicles of the spleen, lymph nodes, and Peyer's patches. It is produced by macrophages, and in mouse the highest constitutive producers include large peritoneal macrophages, Kuppfer cells and lung macrophages (both CD11c+ and CD11c-). The cellular ligand for CXCL13 is CXCR5 also known as BLR-1 (Burkitt's Lymphoma Receptor 1). CXCR5 is expressed on B cells, Tfh cells and, to a lower degree, some memory T cell populations. CXCL13 plays an important role in the development of chronic lymphocytic leukemia (CCL). CXCL13 is also a plasma biomarker for germinal center activity and generation of broadly neutralizing antibodies against HIV.
Specifications
| CXCL13 | |
| Polyclonal | |
| Unconjugated | |
| Cxcl13 | |
| 4631412M08Rik; Angie; ANGIE2; B cell-attracting chemokine 1; b lymphocyte chemoattractant; BCA1; BCA-1; B-cell chemoattractant; B-cell-attracting chemokine 1; B-cell-homing chemokine (ligand for Burkitt's lymphoma receptor-1); BLC; BLR1L; B-lymphocyte chemoattractant; C Cmotif chemokine; C X C motif chemokine; CC motif chemokine; CCmotif chemokine; chem; chemokine (C-X-C motif) ligand 13; chemokine (C-X-C motif) ligand 13 (B-cell chemoattractant); CXC; CXC chemokine BLC; CXC motif chemokine; CXC motif chemokine 13; C-X-C motif chemokine 13; C-X-C motif chemokine ligand 13; CXCL; Cxcl13; SCYB13; small inducible cytokine B subfamily (Cys-X-Cys motif), member 13 (B-cell chemoattractant); small inducible cytokine subfamily B (Cys-X-Cys), member 13; small-inducible cytokine B13 | |
| Rabbit | |
| Antigen affinity chromatography | |
| RUO | |
| 10563 | |
| Store at 4°C short term. For long term storage, store at -20°C, avoiding freeze/thaw cycles. | |
| Liquid |
| Immunohistochemistry (Paraffin), Western Blot, Immunocytochemistry | |
| 1.21 mg/mL | |
| PBS with 20% glycerol and 0.025% ProClin 300; pH 7 | |
| O43927 | |
| Cxcl13 | |
| Carrier-protein conjugated synthetic peptide encompassing a sequence within the C-terminus region of human BCA1. The exact sequence is proprietary. | |
| 100 μL | |
| Primary | |
| Human | |
| Antibody | |
| IgG |
Safety and Handling
WARNING: Cancer - www.P65Warnings.ca.gov
Product Content Correction
Your input is important to us. Please complete this form to provide feedback related to the content on this product.
Product Title
Spot an opportunity for improvement?Share a Content Correction