Learn More
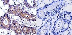
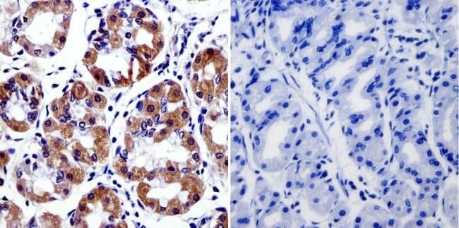
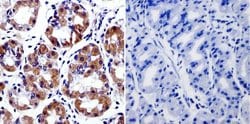
Invitrogen™ Cytohesin 2 Monoclonal Antibody (10A12)

Description
MA1-061 detects recombinant human and mouse cytohesin-2 (ARNO). MA1-061 has been successfully used in IHC (P), immunoprecipitation and IF procedures. By immunoprecipitation this antibody efficiently precipitates GFP-labeled ARNO. MA1-061 does not work in Western blot procedures. The MA1-061 immunogen is purified, His-tagged cytohesin-2.
Specifications
Specifications
| Antigen | Cytohesin 2 |
| Applications | Immunohistochemistry (Paraffin), Immunoprecipitation, Immunocytochemistry |
| Classification | Monoclonal |
| Clone | 10A12 |
| Concentration | 1 mg/mL |
| Conjugate | Unconjugated |
| Formulation | PBS with 1mg/mL BSA and 0.05% sodium azide |
| Gene | CYTH2 |
| Gene Accession No. | P63034, Q99418 |
| Gene Alias | ARF exchange factor; ARF nucleotide binding site opener; ARF nucleotide-binding site opener; ARNO; CLM2; CTC-273B12.8; CTS18; CTS18.1; Cyth2; cytohesin 2; cytohesin-2; mSec7-2; PH, SEC7 and coiled-coil domain-containing protein 2; pleckstrin homology, Sec7 and coiled/coil domains 2 (cytohesin-2); pleckstrin homology, Sec7 and coiled-coil domains 2; pleckstrin homology, Sec7 and coiled-coil domains 2 (cytohesin-2); Protein ARNO; PSCD2; PSCD2L; Sec7; SEC7 homolog B; Sec7b; SEC7L; Sec7p-L; Sec7p-like |
| Show More |
By clicking Submit, you acknowledge that you may be contacted by Fisher Scientific in regards to the feedback you have provided in this form. We will not share your information for any other purposes. All contact information provided shall also be maintained in accordance with our Privacy Policy.