Learn More
DBC1/p30 DBC Rabbit anti-Human, Mouse, Polyclonal, Bethyl Laboratories
Rabbit Polyclonal Antibody
Supplier: Bethyl Laboratories, Inc A300432A

Description
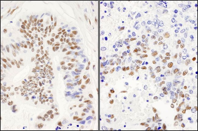
The recommended shelf life for this product is 1 year from date of receipt. Application Note: For IHC, epitope retrieval with citrate buffer pH 6.0 is recommended for FFPE tissue sections. Based on 100% sequence identity, this antibody is predicted to react with Orangutan
This gene is located within a chromosomal region that shows loss of heterozygosity in some bladder cancers. It contains a 5′ CpG island that may be a frequent target of hypermethylation, and it may undergo hypermethylation-based silencing in some bladder cancers.Specifications
DBC1/p30 DBC | |
Polyclonal | |
Unconjugated | |
CCAR2 | |
DBC1, DBCCR1, FAM5A | |
Rabbit | |
Antigen affinity chromatography | |
RUO | |
219158, 57805 | |
4° C | |
Liquid |
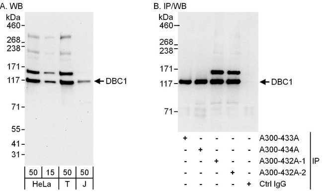
Immunohistochemistry, Immunoprecipitation, Western Blot | |
1 mg/ml | |
phosphate, tris citrate with 0.09% sodium azide; pH 7-8 | |
Q8N163, Q8VDP4 | |
CCAR2 | |
Between 1 and 50 | |
100 μL | |
Primary | |
Human, Mouse | |
Antibody | |
IgG |
The Fisher Scientific Encompass Program offers items which are not part of our distribution portfolio. These products typically do not have pictures or detailed descriptions. However, we are committed to improving your shopping experience. Please use the form below to provide feedback related to the content on this product.