Promotional price valid on web orders only. Your contract pricing may differ. Interested in signing up for a dedicated account number?
Learn More
Learn More
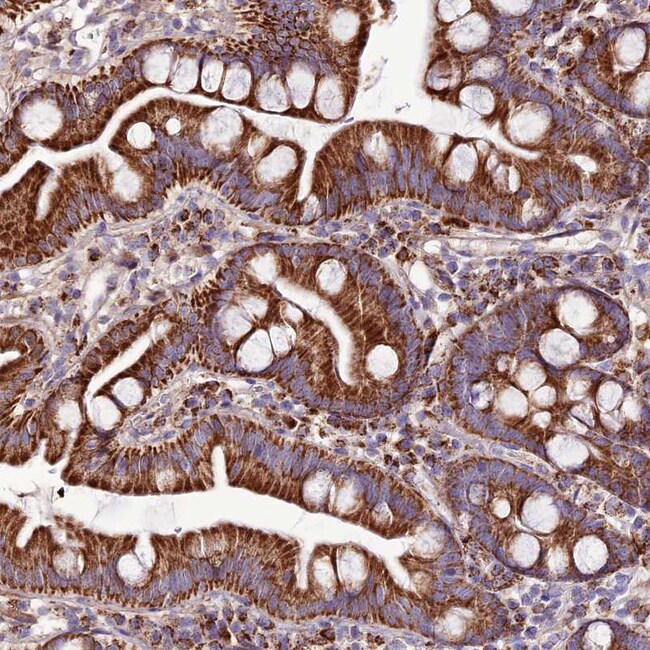
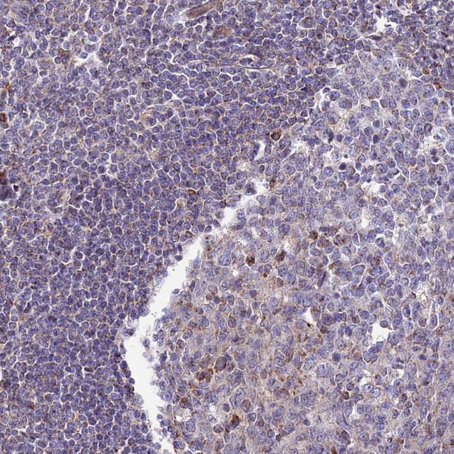
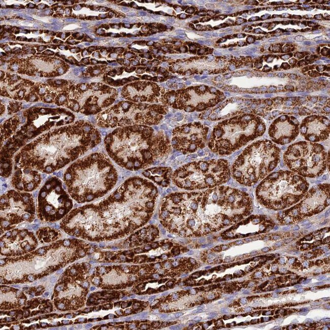
Invitrogen™ DCI Polyclonal Antibody

Rabbit Polyclonal Antibody
Supplier: Invitrogen™ PA5111170
Description
Immunogen sequence: FGSQRVLVEP DAGAGVAVMK FKNPPVNSLS LEFLTELVIS LEKLENDKSF RGVILTSDRP GVFSAGLDLT EMCGRS Highest antigen sequence indentity to the following orthologs: Mouse - 75%, Rat - 80%.
Protein names: Enoyl-CoA delta isomerase 1, mitochondrial; 3,2-trans-enoyl-CoA isomerase; Delta(3),Delta(2)-enoyl-CoA isomerase; Short name=D3,D2-enoyl-CoA isomerase; Dodecenoyl-CoA isomerase. Gene names: ECI1, DCI. Function: Able to isomerize both 3-cis and 3-trans double bonds into the 2-trans form in a range of enoyl-CoA species. Catalytic activity: (3Z)-dodec-3-enoyl-CoA = (2E)-dodec-2-enoyl-CoA. Pathway: Lipid metabolism; fatty acid beta-oxidation. Subunit structure: Homotrimer. Subcellular location: Mitochondrion matrix.
Specifications
| DCI | |
| Polyclonal | |
| Unconjugated | |
| Eci1 | |
| 3,2 trans-enoyl-coenyme A isomerase; 3,2 trans-enoyl-Coenzyme A isomerase; 3,2-trans-enoyl-CoA isomerase; 3,2-trans-enoyl-CoA isomerase, mitochondrial; ACBD2; acetylene-allene isomerase; D3,D2-enoyl-CoA isomerase; Dci; Delta(3),Delta(2)-enoyl-CoA isomerase; dodecenoyl-CoA de; dodecenoyl-CoA delta isomerase (3,2 trans-enoyl-CoA isomerase); dodecenoyl-CoA isomerase; dodecenoyl-Coenzyme A delta isomerase (3,2 trans-enoyl-Coenyme A isomerase); dodecenoyl-Coenzyme A delta isomerase (3,2 trans-enoyl-Coenzyme A isomerase); DRS 1; DRS1; eci; ECI1; enoyl-CoA delta isomerase 1; enoyl-CoA delta isomerase 1, mitochondrial; enoyl-Coenzyme A delta isomerase 1; HCA88; Peroxisomal 3 | |
| Rabbit | |
| Antigen affinity chromatography | |
| RUO | |
| 1632 | |
| Store at 4°C short term. For long term storage, store at -20°C, avoiding freeze/thaw cycles. | |
| Liquid |
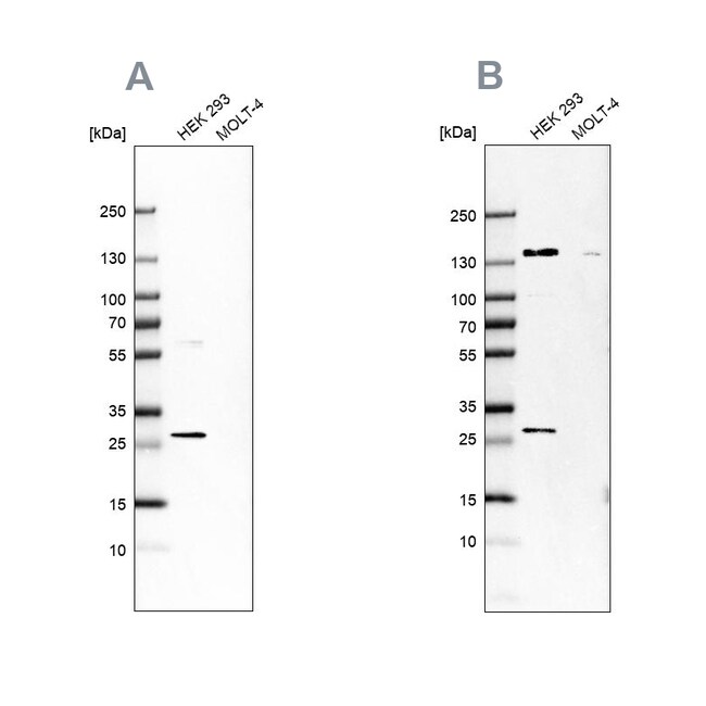
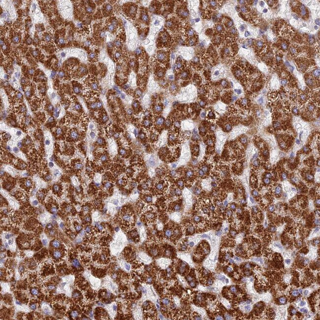
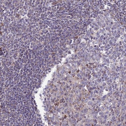
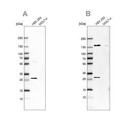
| Immunohistochemistry (Paraffin), Western Blot | |
| 0.1 mg/mL | |
| PBS with 40% glycerol and 0.02% sodium azide; pH 7.2 | |
| P42126 | |
| Eci1 | |
| Recombinant Protein corresonding to Human DCI. Recombinant protein control fragment (Product #RP-98746). | |
| 100 μL | |
| Primary | |
| Human | |
| Antibody | |
| IgG |
Safety and Handling
WARNING: Cancer - www.P65Warnings.ca.gov
Product Content Correction
Your input is important to us. Please complete this form to provide feedback related to the content on this product.
Product Title
Spot an opportunity for improvement?Share a Content Correction