Promotional price valid on web orders only. Your contract pricing may differ. Interested in signing up for a dedicated account number?
Learn More
Learn More
DECR2 Rabbit anti-Human, Mouse, Polyclonal, Proteintech

Rabbit Polyclonal Antibody
Supplier: Proteintech Group Inc 258551AP150UL

Description
DECR2 (2, 4-dienoyl-CoA reductase 2), also known as PDCR (peroxisomal 2, 4-dienoyl-CoA reductase) or SDR17C1, is a 292 amino acid member of the short-chain dehydrogenases/reductases (SDR) protein family and the 2, 4-dienoyl-CoA reductase protein subfamily. Localized to the peroxisome, DECR2 is an auxiliary enzyme of beta-oxidation that catalyzes the NADP-dependent reduction of 2, 4-dienoyl-CoA to yield trans-3-enoyl-CoA. DECR2 has also been shown to have catalytic activity towards 2, 4, 7, 10, 13, 16, 19-docosaheptaenoyl-CoA and short and medium chain 2, 4-dienoyl-CoAs, suggesting that DECR2 is not a rate limiting step in the degradation of docosahexaenoic acid in the peroxisome. DECR2 is expressed as three isoforms produced by alternative splicing events.Specifications
DECR2 | |
Polyclonal | |
Unconjugated | |
DECR2 | |
2,4 dienoyl CoA reductase 2, DECR2, PDCR, SDR17C1 | |
Rabbit | |
Antigen Affinity Chromatography | |
RUO | |
26063, 26378 | |
-20°C | |
Liquid |
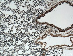
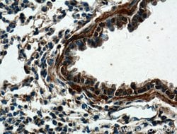
Immunohistochemistry (Paraffin), Western Blot | |
0.41 mg/mL | |
PBS with 50% glycerol and 0.1% sodium azide; pH 7.3 | |
Q9NUI1, Q9WV68 | |
DECR2 | |
DECR2 Fusion Protein Ag23052 | |
150 μL | |
Primary | |
Human, Mouse | |
Antibody | |
IgG |
Product Content Correction
The Fisher Scientific Encompass Program offers items which are not part of our distribution portfolio. These products typically do not have pictures or detailed descriptions. However, we are committed to improving your shopping experience. Please use the form below to provide feedback related to the content on this product.
Product Title
Spot an opportunity for improvement?Share a Content Correction