Promotional price valid on web orders only. Your contract pricing may differ. Interested in signing up for a dedicated account number?
Learn More
Learn More
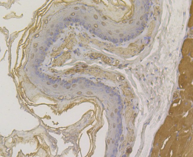
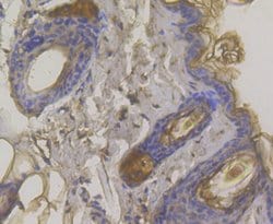
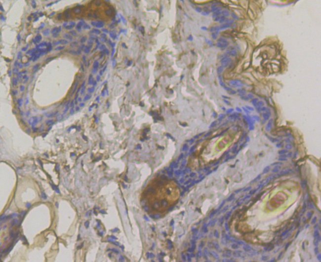
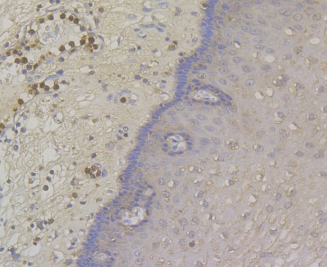
Invitrogen™ Desmoglein 3 Polyclonal Antibody

Rabbit Polyclonal Antibody
Supplier: Invitrogen™ PA5114323
Description
Desmoglein 3 Polyclonal Antibody for Western Blot, ICC/IF, IHC (P), Flow
Desmoglein 3 (Dsg3), also known as Cadherin family member 6 (CDHF6), is a member of the desmosomal cadherin family and plays a critical role in cell-cell adhesion. It is predominately expressed in stratified squamous epithelium, including the skin, oral mucosa, and esophagus. Desmoglein 3 has been characterized as the auto-antigen of pemphigus vulgaris (PV), a life-threatening autoimmune disease. Binding of anti-Desmoglein 3 autoantibodies causes the loss of cell-cell adhesion, which clinically manifests as blisters on the skin and oral mucosa, and histologically as suprabasilar acantholysis.
Specifications
Desmoglein 3 | |
Polyclonal | |
Unconjugated | |
Dsg3 | |
130 kDa pemphigus vulgaris antigen; 130 kDa pemphigus vulgaris antigen homolog; bal; balding; Cadherin family member 6; CDHF6; desmoglein 3; desmoglein-3; DKFZp686P23184; Dsg3; PVA | |
Rabbit | |
Antigen Affinity Chromatography | |
RUO | |
13512, 1830, 291752 | |
Store at 4°C short term. For long term storage, store at -20°C, avoiding freeze/thaw cycles. | |
Liquid |
Flow Cytometry, Immunohistochemistry (Paraffin), Western Blot, Immunocytochemistry | |
1 mg/mL | |
PBS with 0.2% BSA, 50% glycerol and 0.05% sodium azide; pH 7.4 | |
O35902, P32926 | |
Dsg3 | |
Recombinant protein within Human DSG3 aa 709-897. | |
100 μL | |
Primary | |
Human, Mouse, Rat | |
Antibody | |
IgG |
Safety and Handling
WARNING: Cancer - www.P65Warnings.ca.gov
Product Content Correction
Your input is important to us. Please complete this form to provide feedback related to the content on this product.
Product Title
Spot an opportunity for improvement?Share a Content Correction