Promotional price valid on web orders only. Your contract pricing may differ. Interested in signing up for a dedicated account number?
Learn More

DHX38 Rabbit anti-Human, Polyclonal, Bethyl Laboratories

Rabbit Polyclonal Antibody

Supplier:  Bethyl Laboratories, Inc A300858AT

Encompass_Preferred

Catalog No. 50-155-8631


May include imposed supplier surcharges.
Only null left
Add to Cart

Description

Description

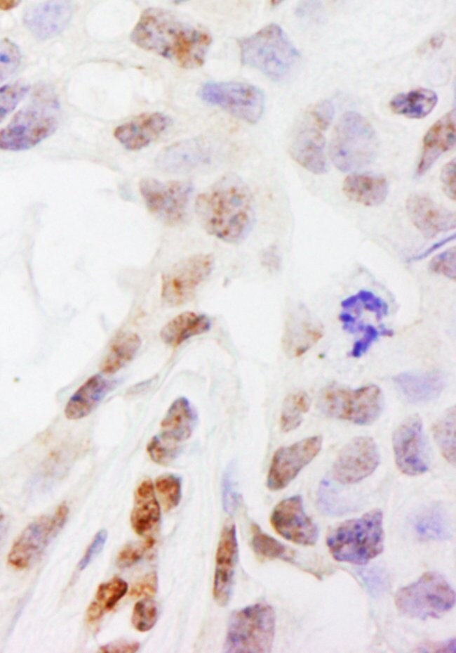
The recommended shelf life for this product is 1 year from date of receipt. Application Note: For IHC, epitope retrieval with citrate buffer pH 6.0 is recommended for FFPE tissue sections. Based on 100% sequence identity, this antibody is predicted to react with Bovine

Probable ATP-binding RNA helicase involved in pre-mRNA splicing.
Specifications

Specifications

DHX38
Polyclonal
Unconjugated
DHX38
ATP-dependent RNA helicase DHX38, DDX38, DEAD/H (Asp-Glu-Ala-Asp/His) box polypeptide 38, DEAH (Asp-Glu-Ala-His) box polypeptide 38, DEAH box protein 38, hPrp16, KIAA0224, pre-mRNA splicing factor ATP-dependent RNA helicase PRP16, PRP16, PRP16 homolog of S.cerevisiae, PRPF16
Rabbit
Antigen affinity chromatography
RUO
9785
4° C
Liquid
Immunohistochemistry, Immunoprecipitation
1 mg/ml
phosphate, tris citrate with 0.09% sodium azide; pH 7-8
Q92620
DHX38
Between 1150 and 1200
10 μL
Primary
Human
Antibody
IgG
Product Suggestions

Product Suggestions

Videos
SDS
Documents

Documents

Product Certifications
Promotions

Promotions

Product Content Correction

The Fisher Scientific Encompass Program offers items which are not part of our distribution portfolio. These products typically do not have pictures or detailed descriptions. However, we are committed to improving your shopping experience. Please use the form below to provide feedback related to the content on this product.

Product Title

By clicking Submit, you acknowledge that you may be contacted by Fisher Scientific in regards to the feedback you have provided in this form. We will not share your information for any other purposes. All contact information provided shall also be maintained in accordance with our Privacy Policy.

Your feedback has been submitted: Thank you for helping us improve our website.