Learn More
Invitrogen™ DLAT Polyclonal Antibody

Description
Immunogen sequence: LLPALSPTMT MGTVQRWEKK VGEKLSEGDL LAEIETDKAT IGFEVQEEGY LAKILVPEGT RDVPLGTPLC IIVEKEADIS AFADYRPTEV TDLKPQVPPP T Highest antigen sequence identity to the following orthologs: Mouse - 91%, Rat - 93%.
Specifications
Specifications
| Antigen | DLAT |
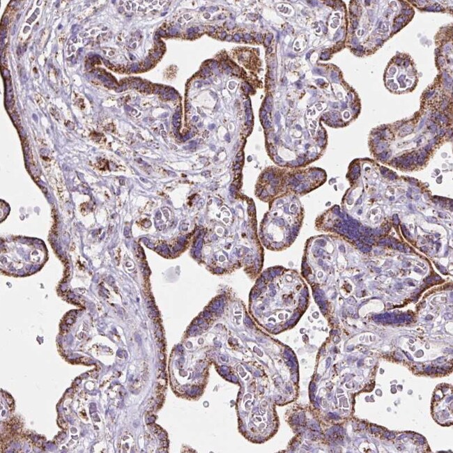
| Applications | Immunohistochemistry (Paraffin), Western Blot, Immunocytochemistry |
| Classification | Polyclonal |
| Concentration | 0.1 mg/mL |
| Conjugate | Unconjugated |
| Formulation | PBS with 40% glycerol and 0.02% sodium azide; pH 7.2 |
| Gene | DLAT |
| Gene Accession No. | P10515 |
| Gene Alias | 6332404G05Rik; 70 kDa mitochondrial autoantigen of primary biliary cirrhosis; anti DLAT; Dihydrolipoamide; Dihydrolipoamide acetyltransferase component of pyruvate dehydrogenase complex; dihydrolipoamide S-acetyltransferase; dihydrolipoamide S-acetyltransferase (E2 component of pyruvate dehydrogenase complex); dihydrolipoyllysine-residue acetyltransferase component of pyruvate dehydrogenase complex mitochondrial; dihydrolipoyllysine-residue acetyltransferase component of pyruvate dehydrogenase complex, mitochondrial; DLAT; DLTA; E2; E2 component of pyruvate dehydrogenase complex; EC 2.3.1.12; M2 antigen complex 70 kDa subunit; ODP2; PBC; PDC PDC-E2; PDCE2; PDC-E2; pyruvate dehydrogenase complex component E2 |
| Gene Symbols | DLAT |
| Show More |
Safety and Handling
By clicking Submit, you acknowledge that you may be contacted by Fisher Scientific in regards to the feedback you have provided in this form. We will not share your information for any other purposes. All contact information provided shall also be maintained in accordance with our Privacy Policy.