Learn More
Invitrogen™ DOK4 Polyclonal Antibody

Description
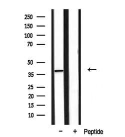
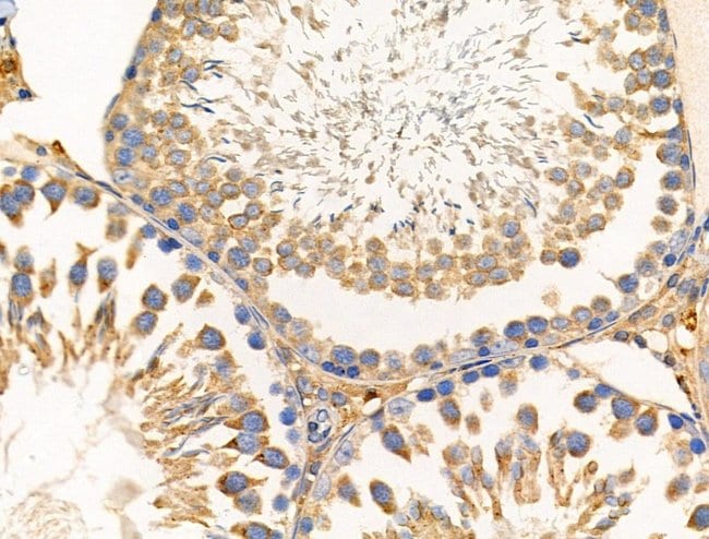
Antibody detects endogenous levels of total DOK4.
Specifications
Specifications
| Antigen | DOK4 |
| Applications | Immunohistochemistry (Paraffin), Western Blot, Immunocytochemistry |
| Classification | Polyclonal |
| Concentration | 1 mg/mL |
| Conjugate | Unconjugated |
| Formulation | PBS with 50% glycerol and 0.02% sodium azide; pH 7.4 |
| Gene | DOK4 |
| Gene Accession No. | Q8TEW6, Q99KE3 |
| Gene Alias | docking protein 4; Dok4; Downstream of tyrosine kinase 4; insulin receptor substrate 5; IRS5; IRS-5 |
| Gene Symbols | DOK4 |
| Show More |
By clicking Submit, you acknowledge that you may be contacted by Fisher Scientific in regards to the feedback you have provided in this form. We will not share your information for any other purposes. All contact information provided shall also be maintained in accordance with our Privacy Policy.