Promotional price valid on web orders only. Your contract pricing may differ. Interested in signing up for a dedicated account number?
Learn More

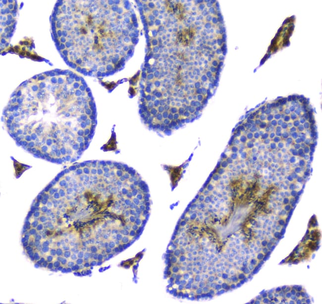
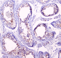
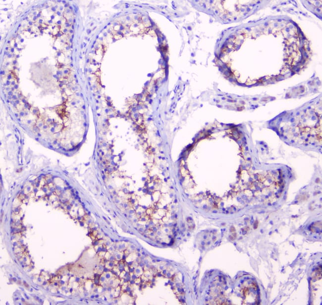
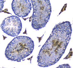
Invitrogen™ Doppel Polyclonal Antibody

Catalog No. PIPA595577
Change view
Click to view available options
Quantity:
100 μg
1 product options available for selection
Product selection table with 1 available options. Use arrow keys to navigate and Enter or Space to select.
Catalog No. Quantity
PIPA595577 100 μg
Use arrow keys to navigate between rows. Press Enter or Space to select a product option. 1 options available.
1 options
Catalog No. PIPA595577 Supplier Invitrogen™ Supplier No. PA595577

Rabbit Polyclonal Antibody

Reconstitute with 0.2 mL of distilled water to yield a concentration of 500 μg/mL.

This gene is found on chromosome 20, approximately 20 kbp downstream of the gene encoding cellular prion protein, to which it is biochemically and structurally similar. The protein encoded by this gene is a membrane glycosylphosphatidylinositol-anchored glycoprotein that is found predominantly in testis. Mutations in this gene may lead to neurological disorders.
TRUSTED_SUSTAINABILITY

Specifications

Antigen Doppel
Applications Immunohistochemistry (Paraffin), Western Blot
Classification Polyclonal
Concentration 500 μg/mL
Conjugate Unconjugated
Formulation PBS with 4mg trehalose and 0.05mg sodium azide
Gene Prnd
Gene Accession No. Q9QUG3, Q9UKY0
Gene Alias AI450264; dJ1068H6.4; DOPPEL; doppelganger; DPL; prion gene complex, downstream; Prion protein 2; prion protein 2 (dublet); prion protein dublet; prion protein-like protein; prion-like protein doppel; PRND; PrPLP; UNQ1830/PRO3443
Gene Symbols Prnd
Host Species Rabbit
Immunogen A synthetic peptide corresponding to a sequence of human Doppel (ATQAANQGEFQKPDNKLHQQVLWRLVQELCSLKH).
Purification Method Affinity chromatography
Quantity 100 μg
Regulatory Status RUO
Primary or Secondary Primary
Gene ID (Entrez) 113910, 23627, 26434
Target Species Human, Mouse, Rat
Content And Storage Store at 4°C short term. For long term storage, store at -20°C, avoiding freeze/thaw cycles.
Product Type Antibody
Form Lyophilized
Isotype IgG
Show More Show Less
Product Title
Select an issue

By clicking Submit, you acknowledge that you may be contacted by Fisher Scientific in regards to the feedback you have provided in this form. We will not share your information for any other purposes. All contact information provided shall also be maintained in accordance with our Privacy Policy.