Promotional price valid on web orders only. Your contract pricing may differ. Interested in signing up for a dedicated account number?
Learn More
Learn More
Invitrogen™ DPEP1 Polyclonal Antibody

Rabbit Polyclonal Antibody
Supplier: Invitrogen™ PA552984
Description
Immunogen sequence: SLIGVEGGHS IDSSLGVLRA LYQLGMRYLT LTHSCNTPWA DNWLVDTGDS EPQSQGLSPF GQRVVKELNR LGVLIDLAHV SVATMKATLQ LSRAPVIFSH SSAYSVCASR RN Highest antigen sequence identity to the following orthologs: Mouse - 80%, Rat - 82%.
The protein encoded by this gene is a kidney membrane enzyme involved in the metabolism of glutathione and other similar proteins by dipeptide hydrolysis. The encoded protein is known to regulate leukotriene activity by catalyzing the conversion of leukotriene D4 to leukotriene E4. This protein uses zinc as a cofactor and acts as a disulfide-linked homodimer. Two transcript variants encoding the same protein have been found for this gene.
Specifications
| DPEP1 | |
| Polyclonal | |
| Unconjugated | |
| DPEP1 | |
| AI327012; Dehydropeptidase-I; dipeptidase 1; dipeptidase 1 (renal); Dpep1; hRDP; MBD; Mbd1; MBD-1; MDP; membrane bound dipeptidase type II; membrane-bound dipeptidase 1; Microsomal dipeptidase; RDP; Renal dipeptidase; testicular tissue protein Li 57 | |
| Rabbit | |
| Antigen affinity chromatography | |
| RUO | |
| 1800 | |
| Store at 4°C short term. For long term storage, store at -20°C, avoiding freeze/thaw cycles. | |
| Liquid |
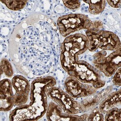
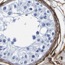
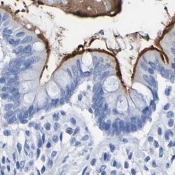
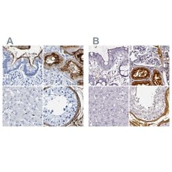
| Immunohistochemistry (Paraffin), Western Blot, Immunocytochemistry | |
| 0.10 mg/mL | |
| PBS with 40% glycerol and 0.02% sodium azide; pH 7.2 | |
| P16444 | |
| DPEP1 | |
| Recombinant protein corresponding to Human DPEP1. Recombinant protein control fragment (Product #RP-89644). | |
| 100 μL | |
| Primary | |
| Human | |
| Antibody | |
| IgG |
Product Content Correction
Your input is important to us. Please complete this form to provide feedback related to the content on this product.
Product Title
Spot an opportunity for improvement?Share a Content Correction