Promotional price valid on web orders only. Your contract pricing may differ. Interested in signing up for a dedicated account number?
Learn More

DTL/CDT2 Rabbit anti-Human, Mouse, Polyclonal, Bethyl Laboratories

Rabbit Polyclonal Antibody

Supplier:  Bethyl Laboratories, Inc A300948A

Encompass_Preferred

Catalog No. 50-155-8859


May include imposed supplier surcharges.
Only null left
Add to Cart

Description

Description

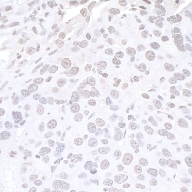
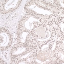
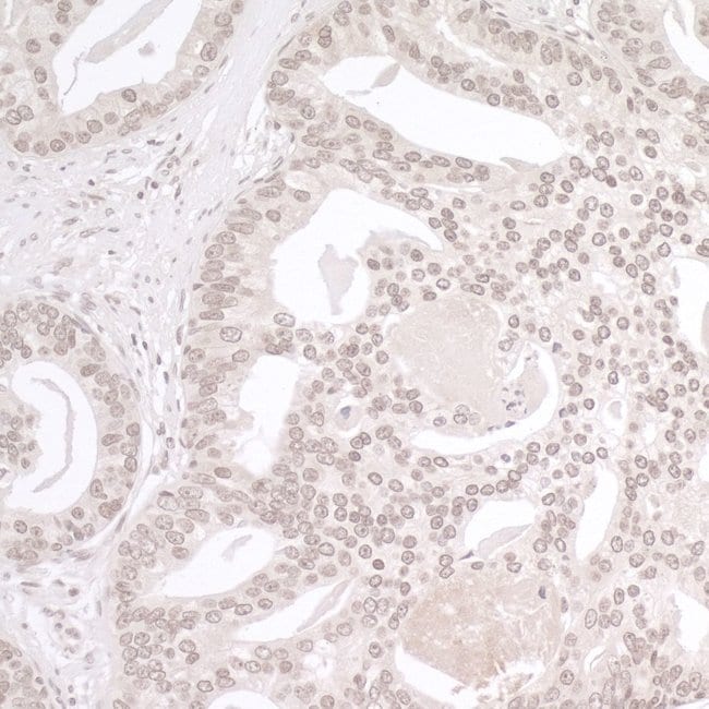
The recommended shelf life for this product is 1 year from date of receipt. Application Note: For IHC, epitope retrieval with Tris-EDTA pH 9.0 is recommended for FFPE tissue sections.

Substrate-specific adapter of a DCX (DDB1-CUL4-X-box) E3 ubiquitin-protein ligase complex required for cell cycle control, DNA damage response and translesion DNA synthesis. The DCX(DTL) complex, also named CRL4(CDT2) complex, mediates the polyubiquitination and subsequent degradation of CDT1 and CDKN1A/p21(CIP1). CDT1 degradation in response to DNA damage is necessary to ensure proper cell cycle regulation of DNA replication. CDKN1A/p21(CIP1) degradation during S phase or following UV irradiation is essential to control replication licensing. Most substrates require their interaction with PCNA for their polyubiquitination: substrates interact with PCNA via their PIP-box, and those containing the ′K+4′ motif in the PIP box, recruit the DCX(DTL) complex, leading to their degradation. In undamaged proliferating cells, the DCX(DTL) complex also promotes the ′Lys-164′ monoubiquitination of PCNA, thereby being involved in PCNA-dependent translesion DNA synthesis.
Specifications

Specifications

DTL/CDT2
Polyclonal
Unconjugated
DTL
CDT2, DCAF2, L2DTL, RAMP, DDB1 and CUL4 associated factor 2, DDB1- and CUL4-associated factor 2, RA regulated nuclear matrix associated protein, RA-regulated nuclear matrix-associated protein, denticleless protein homolog, lethal(2) denticleless protein homolog, retinoic acid-regulated
Rabbit
Antigen affinity chromatography
RUO
51514, 76843
4° C
Liquid
Immunohistochemistry, Immunoprecipitation, Western Blot
0.2 mg/ml
TBS with 0.1% BSA and 0.09% sodium azide
Q3TLR7, Q9NZJ0
Dtl
Between 680 and C-term
100 μL
Primary
Human, Mouse
Antibody
IgG
Product Suggestions

Product Suggestions

Videos
SDS
Documents

Documents

Product Certifications
Promotions

Promotions

Product Content Correction

The Fisher Scientific Encompass Program offers items which are not part of our distribution portfolio. These products typically do not have pictures or detailed descriptions. However, we are committed to improving your shopping experience. Please use the form below to provide feedback related to the content on this product.

Product Title

By clicking Submit, you acknowledge that you may be contacted by Fisher Scientific in regards to the feedback you have provided in this form. We will not share your information for any other purposes. All contact information provided shall also be maintained in accordance with our Privacy Policy.

Your feedback has been submitted: Thank you for helping us improve our website.