Learn More
Invitrogen™ E-cadherin Polyclonal Antibody

Description
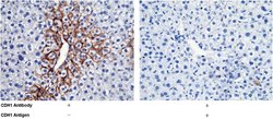
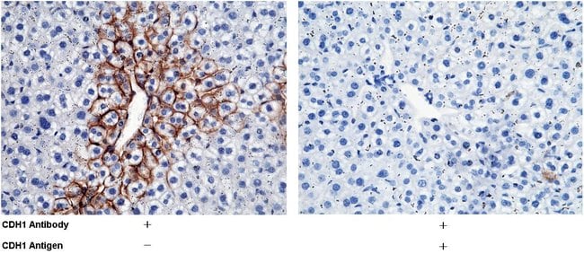
This product is preservative free. It is recommended to add sodium azide to avoid contamination (final concentration 0.05%-0.1%). This antibody has specificity for Mouse E-Cadherin/CDH1.
Specifications
Specifications
| Antigen | E-cadherin |
| Applications | ELISA, Immunohistochemistry (Paraffin), Immunoprecipitation, Western Blot |
| Classification | Polyclonal |
| Concentration | 1 mg/mL |
| Conjugate | Unconjugated |
| Formulation | PBS with no preservative |
| Gene | CDH1 |
| Gene Accession No. | P09803 |
| Gene Alias | AA960649; ARC-1; cadherin 1; cadherin 1, E-cadherin (epithelial); cadherin 1, epithelial; cadherin 1, type 1; cadherin 1, type 1, E-cadherin (epithelial); cadherin e; cadherin-1; cadherin-E; calcium-dependent adhesion protein, epithelial; CAM 120/80; CD324; CDH1; CDHE; cell adhesion molecule; cell-CAM 120/80; ECAD; E-cad; E-Cad/CTF1; E-Cad/CTF2; E-Cad/CTF3; Ecadherin; E-cadherin; E-cadherin 1; E-cadherin precursor; Epithelial cadherin; hab; half baked; LCAM; L-CAM; Um; UVO; Uvomorulin |
| Gene Symbols | CDH1 |
| Show More |
By clicking Submit, you acknowledge that you may be contacted by Fisher Scientific in regards to the feedback you have provided in this form. We will not share your information for any other purposes. All contact information provided shall also be maintained in accordance with our Privacy Policy.