Promotional price valid on web orders only. Your contract pricing may differ. Interested in signing up for a dedicated account number?
Learn More

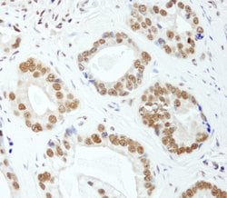
E1B-AP5 Rabbit anti-Human, Polyclonal, Bethyl Laboratories

Rabbit Polyclonal Antibody

Supplier:  Bethyl Laboratories, Inc A300863A

Encompass_Preferred

Catalog No. 50-155-8643


May include imposed supplier surcharges.
Only null left
Add to Cart

Description

Description

The recommended shelf life for this product is 1 year from date of receipt. Application Note: For IHC, epitope retrieval with citrate buffer pH 6.0 or Tris-EDTA pH 9.0 is recommended for FFPE tissue sections.

HNRPUL1 is a nuclear RNA-binding protein of the heterogeneous nuclear ribonucleoprotein (hnRNP) family. This protein binds specifically to adenovirus E1B-55kDa oncoprotein. It may play an important role in nucleocytoplasmic RNA transport, and its function is modulated by E1B-55kDa in adenovirus-infected cells.This gene encodes a nuclear RNA-binding protein of the heterogeneous nuclear ribonucleoprotein (hnRNP) family. This protein binds specifically to adenovirus E1B-55kDa oncoprotein. It may play an important role in nucleocytoplasmic RNA transport, and its function is modulated by E1B-55kDa in adenovirus-infected cells. Four transcript variants encoding different isoforms have been found for this gene. Another variant has also been found, but its full-length nature has not been determined.
Specifications

Specifications

E1B-AP5
Polyclonal
Unconjugated
HNRNPUL1
Heterogeneous nuclear ribonucleoprotein U-like 1, E1BAP5, E1B-AP5, HNRPUL1
Rabbit
Antigen affinity chromatography
RUO
11100
4° C
Liquid
Immunohistochemistry, Immunoprecipitation, Western Blot
0.2 mg/ml
TBS with 0.1% BSA and 0.09% sodium azide
Q9BUJ2
HNRNPUL1
Between 800 and C-term
100 μL
Primary
Human
Antibody
IgG
Product Suggestions

Product Suggestions

Videos
SDS
Documents

Documents

Product Certifications
Promotions

Promotions

Product Content Correction

The Fisher Scientific Encompass Program offers items which are not part of our distribution portfolio. These products typically do not have pictures or detailed descriptions. However, we are committed to improving your shopping experience. Please use the form below to provide feedback related to the content on this product.

Product Title

By clicking Submit, you acknowledge that you may be contacted by Fisher Scientific in regards to the feedback you have provided in this form. We will not share your information for any other purposes. All contact information provided shall also be maintained in accordance with our Privacy Policy.

Your feedback has been submitted: Thank you for helping us improve our website.