Promotional price valid on web orders only. Your contract pricing may differ. Interested in signing up for a dedicated account number?
Learn More
Learn More
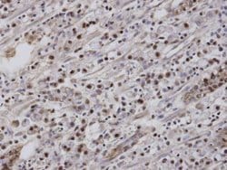
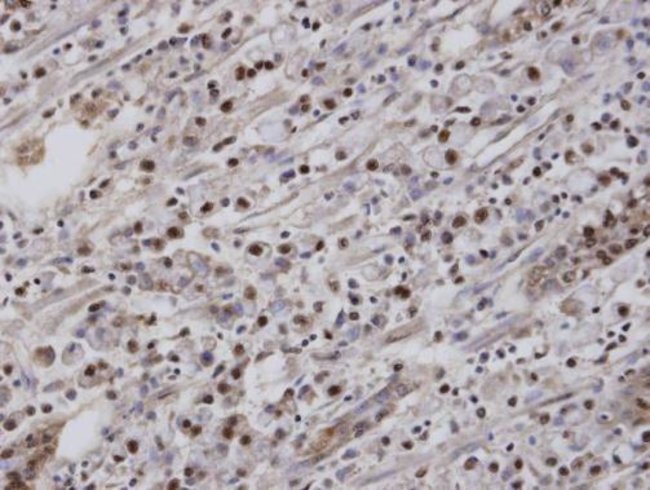
Invitrogen™ EAR2 Polyclonal Antibody

Rabbit Polyclonal Antibody
Supplier: Invitrogen™ PA527135
Description
Recommended positive controls: HeLa, Raji, NIH-3T3, JC. Predicted reactivity: Rhesus Monkey (100%). Store product as a concentrated solution. Centrifuge briefly prior to opening the vial.
Transcription factor predominantly involved in transcriptional repression. Binds to promoter/enhancer response elements that contain the imperfect 5'-AGGTCA-3' direct or inverted repeats with various spacings which are also recognized by other nuclear hormone receptors. Involved in modulation of hormonal responses. Represses transcriptional activity of the lutropin-choriogonadotropic hormone receptor/LHCGR gene, the renin/REN gene and the oxytocin-neurophysin/OXT gene. Represses the triiodothyronine-dependent and -independent transcriptional activity of the thyroid hormone receptor gene in a cell type-specific manner. The corepressing function towards thyroid hormone receptor beta/THRB involves at least in part the inhibition of THRB binding to triiodothyronine response elements (TREs) by NR2F6. Inhibits NFATC transcription factor DNA binding and subsequently its transcriptional activity. Acts as transcriptional repressor of IL-17 expression in Th-17 differentiated CD4(+) T cells and may be involved in induction and/or maintenance of peripheral immunological tolerance and autoimmunity. Involved in development of forebrain circadian clock; is required early in the development of the locus coeruleus (LC).
Specifications
| EAR2 | |
| Polyclonal | |
| Unconjugated | |
| NR2F6 | |
| AV090102; avian erythroblastic leukemia viral (v-erb-a) oncogene homolog-like 2; COUP transcription factor 3; COUPg; COUP-TF3; EAR2; EAR-2; Erba related 2; ERBAL2; ERBA-related gene-2; Nr2f6; Nuclear receptor subfamily 2 group F member 6; nuclear receptor subfamily 2, group F, member 6; nuclear receptor V-erbA-related; orphan nuclear receptor EAR-2; Ovalbumin upstream promoter gamma nuclear receptor; ovalbumin upstream promoter gamma nuclear receptor rCOUPg; v-erb-a avian erythroblastic leukemia viral oncogene homolog-like 2; V-erbA-related protein 2; V-erbA-related protein EAR-2 | |
| Rabbit | |
| Antigen affinity chromatography | |
| RUO | |
| 13864, 2063 | |
| Store at 4°C short term. For long term storage, store at -20°C, avoiding freeze/thaw cycles. | |
| Liquid |
| ChIP Assay, Immunohistochemistry (Paraffin), Western Blot | |
| 1 mg/mL | |
| PBS with 20% glycerol and 0.01% thimerosal; pH 7 | |
| P10588, P43136 | |
| NR2F6 | |
| Carrier-protein conjugated synthetic peptide encompassing a sequence within the C-terminus region of human NR2F6. The exact sequence is proprietary. | |
| 100 μL | |
| Primary | |
| Human, Mouse | |
| Antibody | |
| IgG |
Product Content Correction
Your input is important to us. Please complete this form to provide feedback related to the content on this product.
Product Title
Spot an opportunity for improvement?Share a Content Correction