Learn More
Invitrogen™ EHMT2 Recombinant Rabbit Monoclonal Antibody (2I0Q4)

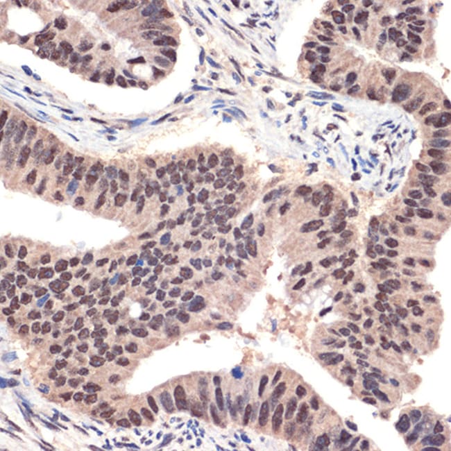
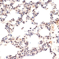
Description
Positive test controls include: A375. The target is usually found in the following locations: Chromosome, Nucleus. Immunogen sequence: AAAAGAAAAA AAEGEAPAEM GALLLEKETR GATERVHGSL GDTPRSEETL PKATPDSLEP AGPSSPASVT VTVGDEGADT PVGATPLIGD ESENLEGDGD LRGGRILLGH ATKSFPSSPS KGGSCPSRAK MSMTGAGKSP PSVQSLAMRL LSMPGAQGAA AAGSEPPPAT TSPEGQPKVH RARKTMSKPG NGQPPVPEKR PPEIQHFRMS DDVHSLGKVT SDLAKRRKLN SGGGLSEELG SARRSGEVTL TKGDPGSLEE WETVVGDDFS LYYDSYSVDE RVDSDSKSEV EALTEQLSE.
Specifications
Specifications
| Antigen | EHMT2 |
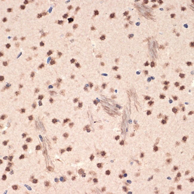
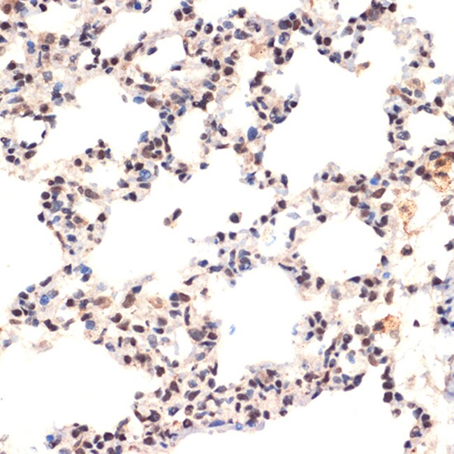
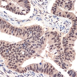
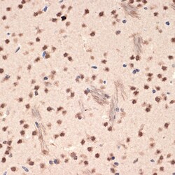
| Applications | ELISA, Immunohistochemistry (Paraffin), Western Blot |
| Classification | Recombinant Monoclonal |
| Clone | 2I0Q4 |
| Concentration | 0.53 mg/mL |
| Conjugate | Unconjugated |
| Formulation | PBS with 0.05% BSA, 50% glycerol and 0.02% sodium azide; pH 7.3 |
| Gene | Ehmt2 |
| Gene Accession No. | Q96KQ7, Q9Z148 |
| Gene Alias | ankyrin repeat-containing protein; Bat8; C6orf30; D17Ertd710e; DKFZp686H08213; Ehmt2; euchromatic histone lysine methyltransferase 2; euchromatic histone lysine N-methyltransferase 2; euchromatic histone-lysine N-methyltransferase 2; FLJ35547; G9a; G9A histone methyltransferase; GAT8; H3 ly; H3-K9-Histone-Methyl-Transferase; H3-K9-HMTase 3; histone H3-K9 methyltransferase 3; Histone-lysine N-methyltransferase EHMT2; histone-lysine N-methyltransferase, H3 lysine-9 specific 3; HLA-B associated transcript 8; HLA-B associated transcript 8, rat orthologue; HLA-B-associated transcript 8; KMT1C; lysine N-methyltransferase 1C; NG36; NG36/G9a; Protein G9a |
| Show More |
Safety and Handling
By clicking Submit, you acknowledge that you may be contacted by Fisher Scientific in regards to the feedback you have provided in this form. We will not share your information for any other purposes. All contact information provided shall also be maintained in accordance with our Privacy Policy.