Promotional price valid on web orders only. Your contract pricing may differ. Interested in signing up for a dedicated account number?
Learn More

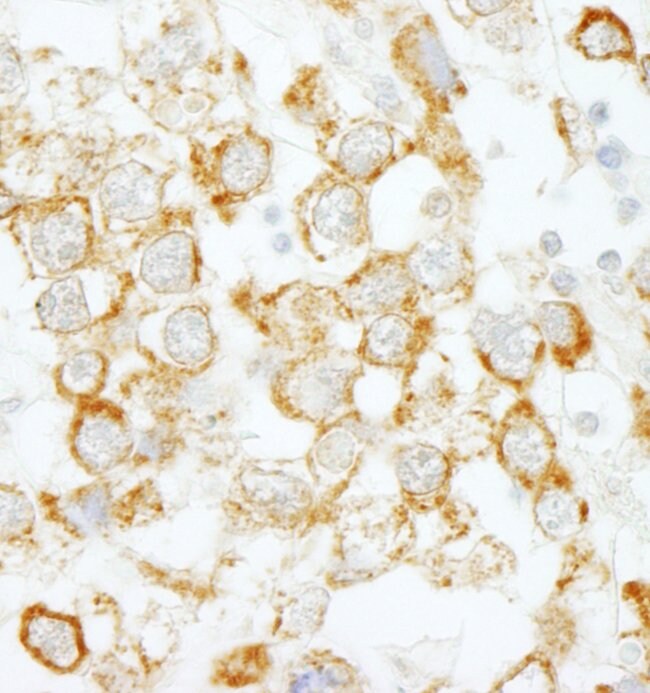
eIF4H Rabbit anti-Human, Polyclonal, Bethyl Laboratories

Rabbit Polyclonal Antibody

Supplier:  Bethyl Laboratories, Inc A301848A

Encompass_Preferred

Catalog No. 50-156-1136


May include imposed supplier surcharges.
Only null left
Add to Cart

Description

Description

The recommended shelf life for this product is 1 year from date of receipt. Application Note: For IHC, epitope retrieval with citrate buffer pH 6.0 is recommended for FFPE tissue sections. Based on 100% sequence identity, this antibody is predicted to react with Mouse, Rat and Orangutan

WBSCR1 is one of the translation initiation factors, which functions to stimulate the initiation of protein synthesis at the level of mRNA utilization.This gene encodes one of the translation initiation factors, which functions to stimulate the initiation of protein synthesis at the level of mRNA utilization. This gene is deleted in Williams syndrome, a multisystem developmental disorder caused by the deletion of contiguous genes at 7q11.23. Alternative splicing of this gene generates 2 transcript variants.
Specifications

Specifications

eIF4H
Polyclonal
Unconjugated
EIF4H
Williams-Beuren syndrome chromosome region 1; eIF-4H; williams-Beuren syndrome chromosomal region 1 protein
Rabbit
Antigen affinity chromatography
RUO
7458
4° C
Liquid
Immunohistochemistry, Western Blot
0.2 mg/ml
TBS with 0.1% BSA and 0.09% sodium azide
Q15056
EIF4H
Between 198 and 248
100 μL
Primary
Human
Antibody
IgG
Product Suggestions

Product Suggestions

Videos
SDS
Documents

Documents

Product Certifications
Promotions

Promotions

Product Content Correction

The Fisher Scientific Encompass Program offers items which are not part of our distribution portfolio. These products typically do not have pictures or detailed descriptions. However, we are committed to improving your shopping experience. Please use the form below to provide feedback related to the content on this product.

Product Title

By clicking Submit, you acknowledge that you may be contacted by Fisher Scientific in regards to the feedback you have provided in this form. We will not share your information for any other purposes. All contact information provided shall also be maintained in accordance with our Privacy Policy.

Your feedback has been submitted: Thank you for helping us improve our website.