Learn More
Invitrogen™ Endostatin Polyclonal Antibody

Description
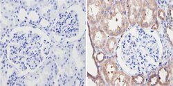
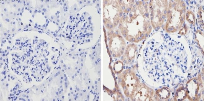
PA1-601 detects recombinant human and mouse endostatin. PA1-601 has been successfully used in Western blot, IF/ICC and IHC (P) procedures. By Western blot, this antibody detects a 20 kDa protein representing recombinant human endostatin. PA1-601 immunizing peptides are two peptides derived from mouse and human endostatin protein corresponding to amino acid residues 129-142 of endostatin. PA1-601 can be used with blocking peptide PEP-112.
Specifications
Specifications
| Antigen | Endostatin |
| Applications | Immunohistochemistry (Paraffin), Western Blot, Immunocytochemistry |
| Classification | Polyclonal |
| Concentration | 1 mg/mL |
| Conjugate | Unconjugated |
| Formulation | PBS with 1mg/mL BSA and 0.05% sodium azide |
| Gene | COL18A1 |
| Gene Accession No. | P39060, P39061 |
| Gene Alias | antiangiogenic agent; Col18a1; Collagen alpha-1(XVIII) chain; collagen type XVIII alpha 1 chain; collagen, type XVIII, alpha 1; endostatin; FLJ27325; FLJ34914; KNO; KNO1; KS; MGC74745; multi-functional protein MFP; NC1; Non-collagenous domain 1; procollagen, type XVIII, alpha 1 |
| Gene Symbols | COL18A1 |
| Show More |
By clicking Submit, you acknowledge that you may be contacted by Fisher Scientific in regards to the feedback you have provided in this form. We will not share your information for any other purposes. All contact information provided shall also be maintained in accordance with our Privacy Policy.