Learn More
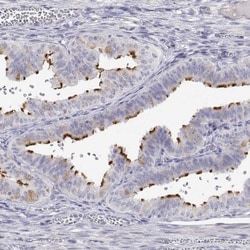
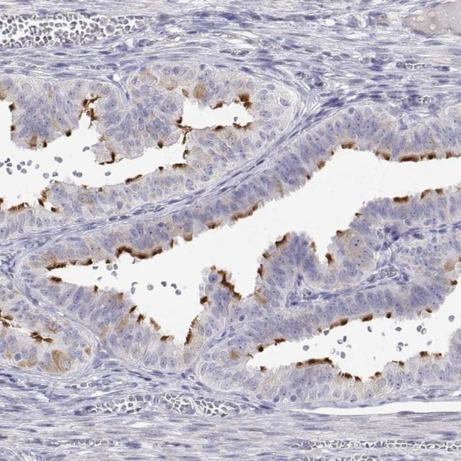
Invitrogen™ ENO4 Polyclonal Antibody

Description
Immunogen sequence: LAVAKACAML LNKPLYLNIA LLKHNQEQPT TLSMPLLMVS LVSCGKSSSG KLNLMKEVIC IPHPELTTKQ GVEMLM Highest antigen sequence identity to the following orthologs: Mouse - 71%, Rat - 71%.
Specifications
Specifications
| Antigen | ENO4 |
| Applications | Immunohistochemistry (Paraffin) |
| Classification | Polyclonal |
| Concentration | 0.1 mg/mL |
| Conjugate | Unconjugated |
| Formulation | PBS with 40% glycerol and 0.02% sodium azide; pH 7.2 |
| Gene | ENO4 |
| Gene Accession No. | A6NNW6 |
| Gene Alias | 2-phospho-D-glycerate hydro-lyase; 6430537H07Rik; C10orf134; Eno4; Enolase 4; enolase family member 4; enolase-like protein C10orf134 homolog; enolase-like protein ENO4 |
| Gene Symbols | ENO4 |
| Show More |
Safety and Handling
By clicking Submit, you acknowledge that you may be contacted by Fisher Scientific in regards to the feedback you have provided in this form. We will not share your information for any other purposes. All contact information provided shall also be maintained in accordance with our Privacy Policy.