Promotional price valid on web orders only. Your contract pricing may differ. Interested in signing up for a dedicated account number?
Learn More
Learn More
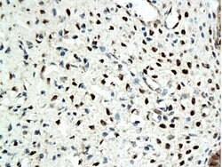
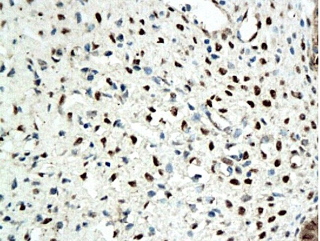
Estrogen receptor beta Rabbit anti-Human, Polyclonal, Bioss

Rabbit Polyclonal Antibody
Supplier: Bioss BS0116R
Description
Estrogen Receptor beta (ER beta, NR3A2) protein is approximately 55kD, though multiple isoforms ranging from 36-59kD have been described. Human ER beta was initially cloned and characterized from testis. Estrogen Receptors (ER) are members of the steroid/thyroid hormone receptor superfamily of nuclear receptors. The estrogen receptor is a ligand-activated transcription factor, that when bound to estrogen hormone, induces a conformational change that allows dimerization and binding to estrogen response elements (ERE) in DNA. When bound to EREs, ER can positively or negatively regulate gene transcription through the recruitment of coactivator or corepressor proteins. There are two different forms of the estrogen receptor, alpha and beta, encoded by separate genes (ESR1 and ESR2, respectively). Estrogen receptor beta (ER beta) binds estrogens with an affinity similar to that of estrogen receptor alpha. Some ER beta isoforms dominantly inhibit the activity of estrogen receptor alpha in reproductive tissues. ER beta is found widely in many tissues throughout the body and can act as a potent tumor suppressor, playing a crucial role in many cancer types such as prostate cancer, autism spectrum disorder, medullary thyroid carcinoma, De Quervain Disease and risk of cardiovascular disease.Specifications
| Estrogen receptor beta | |
| Polyclonal | |
| Unconjugated | |
| ESR2 | |
| ER; ER beta; ER[b]; Erb; Erb2; Erbeta; ER-beta; ESR2; ESRB; ESR-BETA; Estrb; estrogen receptor 2; estrogen receptor 2 (beta); estrogen receptor 2 (ER beta); estrogen receptor 2 beta; Estrogen receptor beta; estrogen receptor beta 1 isoform deletion variant; estrogen receptor beta 4; Nr3a2; Nuclear receptor subfamily 3 group A member 2; oestrogen receptor beta; steroid receptor | |
| Rabbit | |
| Protein A | |
| RUO | |
| 2100 | |
| -20°C | |
| Liquid |
| Flow Cytometry, Immunohistochemistry (Paraffin), Western Blot | |
| 1 μg/mL | |
| PBS with 1% BSA, 50% glycerol and 0.09% sodium azide; pH | |
| Q92731 | |
| ESR2 | |
| KLH conjugated synthetic peptide derived from human ER-beta. | |
| 100 μL | |
| Primary | |
| Human | |
| Antibody | |
| IgG |
Product Content Correction
The Fisher Scientific Encompass Program offers items which are not part of our distribution portfolio. These products typically do not have pictures or detailed descriptions. However, we are committed to improving your shopping experience. Please use the form below to provide feedback related to the content on this product.
Product Title
Spot an opportunity for improvement?Share a Content Correction