Learn More
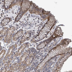
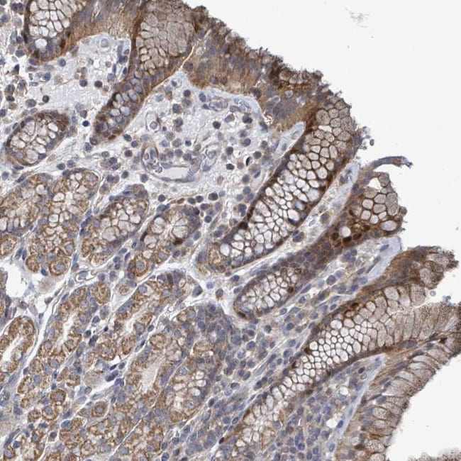
Invitrogen™ FAM171A1 Polyclonal Antibody

Description
Immunogen sequence: LGKDYHKSVE VFPLKARKSM EREGYESSGN DDYRGSYNTV LSQPLFEKQD REGPASTGSK LTIQEHLYPA PSSPEKEQLL DR Highest antigen sequence identity to the following orthologs: Mouse - 84%, Rat - 79%.
Specifications
Specifications
| Antigen | FAM171A1 |
| Applications | Immunohistochemistry (Paraffin), Immunocytochemistry |
| Classification | Polyclonal |
| Concentration | 0.2 mg/mL |
| Conjugate | Unconjugated |
| Formulation | PBS with 40% glycerol and 0.02% sodium azide; pH 7.2 |
| Gene | FAM171A1 |
| Gene Accession No. | Q5VUB5 |
| Gene Alias | 9630050M13Rik; AA409679; APCN; Astroprincin; C10orf38; FAM171A1; family with sequence similarity 171 member A1; family with sequence similarity 171, member A1; protein FAM171A1 |
| Gene Symbols | FAM171A1 |
| Show More |
By clicking Submit, you acknowledge that you may be contacted by Fisher Scientific in regards to the feedback you have provided in this form. We will not share your information for any other purposes. All contact information provided shall also be maintained in accordance with our Privacy Policy.