Promotional price valid on web orders only. Your contract pricing may differ. Interested in signing up for a dedicated account number?
Learn More
Learn More
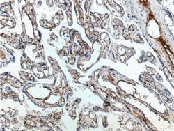
FCGR2B / CD32b Rabbit anti-Human, Polyclonal, Proteintech

Rabbit Polyclonal Antibody
Supplier: Proteintech Group Inc 215411AP150UL

Description
The protein encoded by this gene is a low affinity receptor for the Fc region of immunoglobulin gamma complexes. The encoded protein is involved in the phagocytosis of immune complexes and in the regulation of antibody production by B-cells. Variations in this gene may increase susceptibility to systemic lupus erythematosus. Several transcript variants encoding different isoforms have been found for this gene.Specifications
FCGR2B / CD32b | |
Polyclonal | |
Unconjugated | |
FCGR2B | |
CD32, CD32B, CDw32, Fc gamma RII b, Fc gamma RIIb, FCG2, FCGR2, FCGR2B, FcRII b, IGFR2, IgG Fc receptor II b | |
Rabbit | |
Antigen Affinity Chromatography | |
RUO | |
2213 | |
-20°C | |
Liquid |
Immunohistochemistry (Paraffin), Western Blot | |
0.27 mg/mL | |
PBS with 50% glycerol and 0.1% sodium azide; pH 7.3 | |
P31994 | |
FCGR2B | |
FCGR2B / CD32b Fusion Protein Ag16189 | |
150 μL | |
Primary | |
Human | |
Antibody | |
IgG |
Product Content Correction
The Fisher Scientific Encompass Program offers items which are not part of our distribution portfolio. These products typically do not have pictures or detailed descriptions. However, we are committed to improving your shopping experience. Please use the form below to provide feedback related to the content on this product.
Product Title
Spot an opportunity for improvement?Share a Content Correction