Promotional price valid on web orders only. Your contract pricing may differ. Interested in signing up for a dedicated account number?
Learn More
Learn More
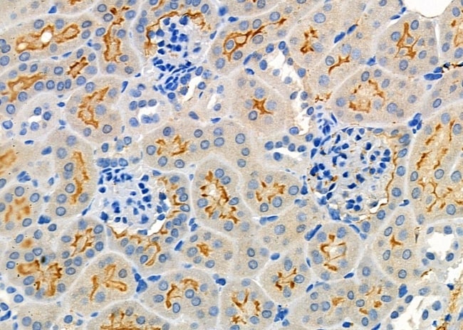
Invitrogen™ FGF16 Polyclonal Antibody

Rabbit Polyclonal Antibody
Supplier: Invitrogen™ PA5103409
Description
Antibody detects endogenous levels of total FGF16.
FGF-16 is a heparin-binding growth factor that is a member of the FGF family. Proteins of this family play a central role during prenatal development, postnatal growth and regeneration of a variety of tissues, by promoting cellular proliferation and differentiation. FGF-16 signals through FGFR 2c and 3c. FGF-16 plays a role in the development of the central nervous system.
Specifications
| FGF16 | |
| Polyclonal | |
| Unconjugated | |
| FGF16 | |
| FGF; FGF16; FGF-16; Fibroblast growth factor; Fibroblast growth factor 16; metacarpal 4-5 fusion; MF4 | |
| Rabbit | |
| Affinity chromatography | |
| RUO | |
| 60464, 80903, 8823 | |
| -20°C | |
| Liquid |
| Immunohistochemistry (Paraffin), Western Blot | |
| 1 mg/mL | |
| PBS with 50% glycerol and 0.02% sodium azide; pH 7.4 | |
| O43320, O54769, Q9ESL8 | |
| FGF16 | |
| A synthesized peptide derived from human FGF16(Accession O43320), corresponding to amino acid residues K57-R107. | |
| 100 μL | |
| Primary | |
| Human, Mouse, Rat | |
| Antibody | |
| IgG |
Safety and Handling
WARNING: Cancer - www.P65Warnings.ca.gov
Product Content Correction
Your input is important to us. Please complete this form to provide feedback related to the content on this product.
Product Title
Spot an opportunity for improvement?Share a Content Correction