Promotional price valid on web orders only. Your contract pricing may differ. Interested in signing up for a dedicated account number?
Learn More
Learn More
Invitrogen™ Fibrillin 2 Polyclonal Antibody

Rabbit Polyclonal Antibody
Supplier: Invitrogen™ PA552995
Description
Immunogen sequence: GMCFSGLVNG RCAQELPGRM TKMQCCCEPG RCWGIGTIPE ACPVRGSEEY RRLCMDGLPM GGIPGSAGSR PGGTGGNGFA PSGNGNGYGP GGTGFIPIPG GNGFSPGVGG AGVGAGGQGP IITGLTILNQ Highest antigen sequence identity to the following orthologs: Mouse - 86%, Rat - 88%.
The protein encoded by this gene is a component of connective tissue microfibrils and may be involved in elastic fiber assembly. Mutations in this gene cause congenital contractural arachnodactyly.
Specifications
Fibrillin 2 | |
Polyclonal | |
Unconjugated | |
FBN2 | |
BC063774; CCA; DA9; EOMD; Fbn2; Fbn-2; Fib-2; fibrillin 2; fibrillin 5; fibrillin-2; Fibrillin-2 C-terminal peptide; mKIAA4226; sne; sy; syndatyly ems | |
Rabbit | |
Antigen affinity chromatography | |
RUO | |
2201 | |
Store at 4°C short term. For long term storage, store at -20°C, avoiding freeze/thaw cycles. | |
Liquid |
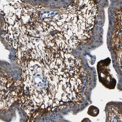
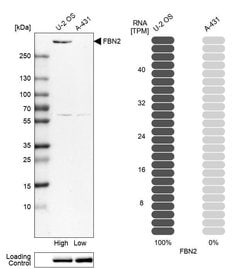
Immunohistochemistry (Paraffin), Western Blot | |
0.1 mg/mL | |
PBS with 40% glycerol and 0.02% sodium azide; pH 7.2 | |
P35556 | |
FBN2 | |
Recombinant protein corresponding to Human Fibrillin 2. Recombinant protein control fragment (Product #RP-90288). | |
100 μL | |
Primary | |
Human | |
Antibody | |
IgG |
Safety and Handling
WARNING: Cancer - www.P65Warnings.ca.gov
Product Content Correction
Your input is important to us. Please complete this form to provide feedback related to the content on this product.
Product Title
Spot an opportunity for improvement?Share a Content Correction