Promotional price valid on web orders only. Your contract pricing may differ. Interested in signing up for a dedicated account number?
Learn More

Invitrogen™ FKBP4 Recombinant Rabbit Monoclonal Antibody (JG96-30)
GREENER_CHOICE

Catalog No. PIMA534801
Change view
Click to view available options
Quantity:
100 μL
1 product options available for selection
Product selection table with 1 available options. Use arrow keys to navigate and Enter or Space to select.
Catalog No. Quantity
PIMA534801 100 μL
Use arrow keys to navigate between rows. Press Enter or Space to select a product option. 1 options available.
1 options
Catalog No. PIMA534801 Supplier Invitrogen™ Supplier No. MA534801
Only null left
Add to Cart
Add to Cart

Rabbit Recombinant Monoclonal Antibody

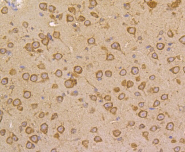
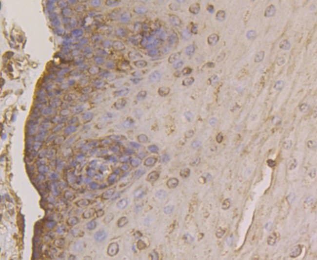
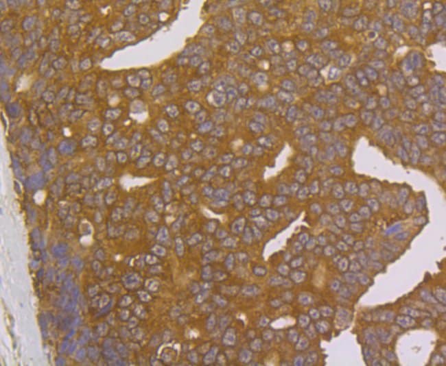
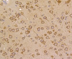
Positive Control: 293, SK-Br-3, 293T, MCF-7, human prostate cancer tissue, human esophagus tissue, mouse brain tissue.

FKBP4, encoding FK506-binding protein 4, is part of the immunophilin family and plays roles in cellular processes like protein folding and trafficking. The FKBP4 gene is located on chromosome 12, where it encodes a protein involved in modulating the androgen receptor signaling pathway and has been implicated in various cancers, including non-small-cell lung cancer (NSCLC) and hepatocellular carcinoma (HCC). Structural variants of FKBP4 found through exome sequencing have shown potential deleterious effects on protein function. This gene is associated with cell proliferation, apoptosis, migration, and invasion in cancer cells. FKBP4 also influences metabolic processes, such as glycolysis, thereby contributing to cancer cell survival and growth. Importantly, FKBP4 has a role in disorders of sexual development due to its regulatory interaction with hormone signaling pathways.
TRUSTED_SUSTAINABILITY

Specifications

Antigen FKBP4
Applications Flow Cytometry, Immunohistochemistry (Paraffin), Western Blot, Immunocytochemistry
Classification Recombinant Monoclonal
Clone JG96-30
Concentration 1 mg/mL
Conjugate Unconjugated
Formulation TBS with 0.05% BSA, 40% glycerol and 0.05% sodium azide; pH 7.4
Gene FKBP4
Gene Accession No. Q02790
Gene Alias 51 kDa FK506-binding protein; 52 kDa FK506-binding protein; 52 kDa FKBP; 59 kDa immunophilin; 59kDa; AL022792; AW208983; FK506 binding protein 4; FK506 binding protein 4, 59kDa; FK506 binding protein 52; FK506-binding protein 4; FK506-binding protein 4 (59kD); FKBP prolyl isomerase 4; Fkbp4; FKBP-4; FKBP51; FKBP52; FKBP-52; FKBP52 protein; FKBP59; Fkpb52; HBI; HSP binding immunophilin; Hsp56; hsp90 binding protein; HSP-binding immunophilin; immunophilin FKBP52; p52; P59; p59 protein; peptidylprolyl cis-trans isomerase; peptidyl-prolyl cis-trans isomerase FKBP4; Peptidyl-prolyl cis-trans isomerase FKBP4, N-terminally processed; PPIase; PPIase FKBP4; rotamase; T-cell FK506-binding protein, 59kD
Gene Symbols FKBP4
Host Species Rabbit
Immunogen Recombinant protein within Human FKBP52 aa 1-132.
Purification Method Protein A
Quantity 100 μL
Regulatory Status RUO
Primary or Secondary Primary
Gene ID (Entrez) 2288
Target Species Human
Content And Storage -20°C, Avoid Freeze/Thaw Cycles, store in dark
Product Type Antibody
Form Liquid
Isotype IgG
Show More Show Less
Product Title
Select an issue

By clicking Submit, you acknowledge that you may be contacted by Fisher Scientific in regards to the feedback you have provided in this form. We will not share your information for any other purposes. All contact information provided shall also be maintained in accordance with our Privacy Policy.