Promotional price valid on web orders only. Your contract pricing may differ. Interested in signing up for a dedicated account number?
Learn More

FUS Rabbit anti-Human, Mouse, Polyclonal, Bethyl Laboratories

Rabbit Polyclonal Antibody

Supplier:  Bethyl Laboratories, Inc A300294A

Encompass_Preferred

Catalog No. 50-155-7314


May include imposed supplier surcharges.
Only null left
Add to Cart

Description

Description

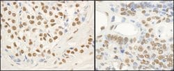
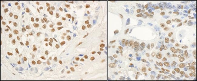
The recommended shelf life for this product is 1 year from date of receipt. Application Note: For IHC, epitope retrieval with citrate buffer pH 6.0 is recommended for FFPE tissue sections. Based on 100% sequence identity, this antibody is predicted to react with Bovine

FUS/TLS was originally described as fused in Sarcoma is actually related to a number of different cellular processes and correlated to several diseases. FUS binds DNA as a single or double strand, and acts as a site for transcription factors to recognize. Since FUS is well-documented to be involved in liposarcoma, lipoma and leukaemia, it is believed that when its normal housekeeping functions related to transcription are disrupted, normal cells become cancerous. Interestingly, FUS is also associated with the fatal neuron disorder amyotrophic lateral sclerosis; interruption of its normal RNA-binding functions leads to incorrect cellular localization and leads to pathologies of the neuron. Thus, FUS regulation of cellular functions is a critical component of maintece of healthy cells.
Specifications

Specifications

FUS
Polyclonal
Unconjugated
FUS
ALS6, FUS1, HNRNPP2, POMP75, TLS, 75 kDa DNA-pairing protein, RNA-binding protein FUS, fus-like protein, fusion gene in myxoid liposarcoma, heterogeneous nuclear ribonucleoprotein P2, oncogene FUS, oncogene TLS, translocated in liposarcoma protein
Rabbit
Antigen affinity chromatography
RUO
233908, 2521
4° C
Liquid
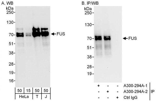
Immunohistochemistry, Immunoprecipitation, Western Blot
1 mg/ml
phosphate, tris citrate with 0.09% sodium azide; pH 7-8
P35637, P56959
FUS
Between 500 and C-term
100 μL
Primary
Human, Mouse
Antibody
IgG
Product Suggestions

Product Suggestions

Videos
SDS
Documents

Documents

Product Certifications
Promotions

Promotions

Product Content Correction

The Fisher Scientific Encompass Program offers items which are not part of our distribution portfolio. These products typically do not have pictures or detailed descriptions. However, we are committed to improving your shopping experience. Please use the form below to provide feedback related to the content on this product.

Product Title

By clicking Submit, you acknowledge that you may be contacted by Fisher Scientific in regards to the feedback you have provided in this form. We will not share your information for any other purposes. All contact information provided shall also be maintained in accordance with our Privacy Policy.

Your feedback has been submitted: Thank you for helping us improve our website.