Promotional price valid on web orders only. Your contract pricing may differ. Interested in signing up for a dedicated account number?
Learn More
Learn More
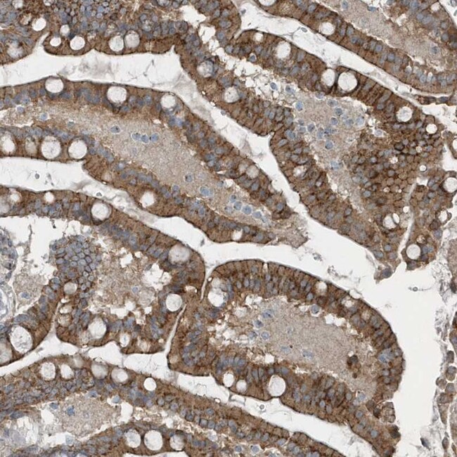
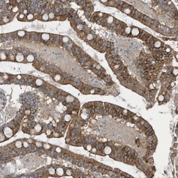
Invitrogen™ GCC2 Polyclonal Antibody

Rabbit Polyclonal Antibody
Supplier: Invitrogen™ PA557429
Description
Immunogen sequence: KLLSQQELVP ELENTIKNLQ EKNGVYLLSL SQRDTMLKEL EGKINSLTEE KDDFINKLKN SHEEMDNFHK KCEREERLIL ELGKKVEQTI QYNS Highest antigen sequence identity to the following orthologs: Mouse - 67%, Rat - 61%.
The protein encoded by this gene is a peripheral membrane protein localized to the trans-Golgi network. It is sensitive to brefeldin A. This encoded protein contains a GRIP domain which is thought to be used in targeting. Alternative splicing results in multiple transcript variants.
Specifications
| GCC2 | |
| Polyclonal | |
| Unconjugated | |
| GCC2 | |
| 0610043A03Rik; 185 kDa Golgi coiled-coil protein; 2210420P05Rik; 2600014C01Rik; AW112121; CLL-associated antigen KW-11; CTCL tumor antigen se1-1; GCC protein, 185-kD; GCC185; GCC2; Golgi coiled-coil protein GCC185; GRIP and coiled-coil domain containing 2; GRIP and coiled-coil domain-containing protein 2; KIAA0336; mKIAA0336; Ran-binding protein 2-like 4; RanBP2L4; REN53; Renal carcinoma antigen NY-REN-53 | |
| Rabbit | |
| Antigen affinity chromatography | |
| RUO | |
| 9648 | |
| Store at 4°C short term. For long term storage, store at -20°C, avoiding freeze/thaw cycles. | |
| Liquid |
| Immunohistochemistry (Paraffin), Immunocytochemistry | |
| 0.1 mg/mL | |
| PBS with 40% glycerol and 0.02% sodium azide; pH 7.2 | |
| Q8IWJ2 | |
| GCC2 | |
| Recombinant protein corresponding to Human GCC2. Recombinant protein control fragment (Product #RP-102683). | |
| 100 μL | |
| Primary | |
| Human | |
| Antibody | |
| IgG |
Product Content Correction
Your input is important to us. Please complete this form to provide feedback related to the content on this product.
Product Title
Spot an opportunity for improvement?Share a Content Correction