Learn More
Invitrogen™ GNAQ Monoclonal Antibody (13H4)

Mouse Monoclonal Antibody
Supplier: Invitrogen™ MA549175
Description
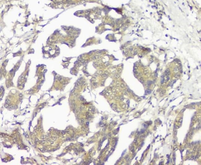
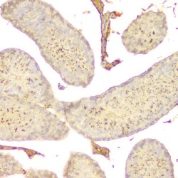
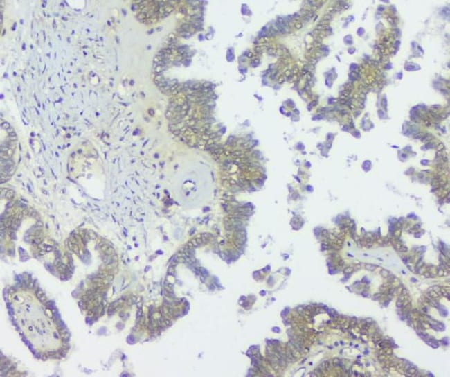
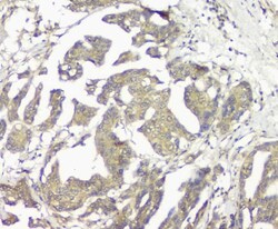
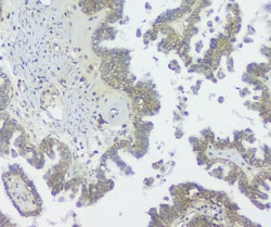
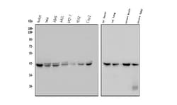
Adding 0.2 mL of distilled water will yield a concentration of 500 μg/mL. Immunogen sequence is identical to the related mouse and rat sequences. Positive Control - WB: human Jurkat whole cell, human Hela whole cell, human A549 whole cellhuman A431 whole cell, human MCF-7 whole cell, human K562 whole cell, monkey COS-7 whole cell, rat brain tissue, rat lung tissue, mouse brain tissue, mouse lung tissue. IHC: human ovarian cancer tissue, human ovarian cancer tissue, mouse testis tissue. Flow: U20S cell. Store at -20°C for one year from date of receipt. After reconstitution, at 4°C for one month. It can also be aliquotted and stored frozen at -20°C for six months. Avoid repeated freeze-thaw cycles.
Guanine nucleotide-binding proteins are a family of heterotrimeric proteins that couple cell surface, 7-transmembrane domain receptors to intracellular signaling pathways. Receptor activation catalyzes the exchange of GTP for GDP bound to the inactive G protein alpha subunit resulting in a conformational change and dissociation of the complex. The G protein alpha and beta-gamma subunits are capable of regulating various cellular effectors. Activation is terminated by a GTPase intrinsic to the G-alpha subunit. G-alpha-q is the alpha subunit of one of the heterotrimeric GTP-binding proteins that mediates stimulation of phospholipase C-beta.
Specifications
| GNAQ | |
| Monoclonal | |
| 500 μg/mL | |
| PBS with 4mg trehalose and 0.05mg sodium azide | |
| P21279, P50148, P82471 | |
| GNAQ | |
| A synthetic peptide corresponding to a sequence at the N-terminus of human GNAQ (102-138aa KYEHNKAHAQLVREVDVEKVSAFENPYVDAIKSLWND). | |
| 100 μg | |
| Primary | |
| Human, Mouse, Monkey, Rat | |
| Antibody | |
| IgG2b |
| Flow Cytometry, Immunohistochemistry (Paraffin), Western Blot | |
| 13H4 | |
| Unconjugated | |
| GNAQ | |
| 1110005L02Rik; 6230401I02Rik; AA408290; AW060788; CMC1; Dsk1; Dsk10; G alpha q; G protein subunit alpha q; Galpha q; Galphaq; G-ALPHA-q; GAQ; GNAQ; gnaqa; Gq; GqI; guanine nucleotide binding protein (G protein), q polypeptide; guanine nucleotide binding protein alpha q subunit; guanine nucleotide binding protein, alpha q polypeptide; guanine nucleotide regulatory protein G alpha q; guanine nucleotide-binding protein alpha-q; Guanine nucleotide-binding protein G(q) subunit alpha; heterotrimeric guanine nucleotide-binding protein alpha q subunit; si:ch73-270f14.2; SWS | |
| Mouse | |
| Antigen affinity chromatography | |
| RUO | |
| 14682, 2776, 81666 | |
| -20°C | |
| Lyophilized |
Your input is important to us. Please complete this form to provide feedback related to the content on this product.