Promotional price valid on web orders only. Your contract pricing may differ. Interested in signing up for a dedicated account number?
Learn More
Learn More
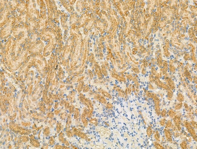
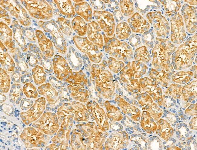
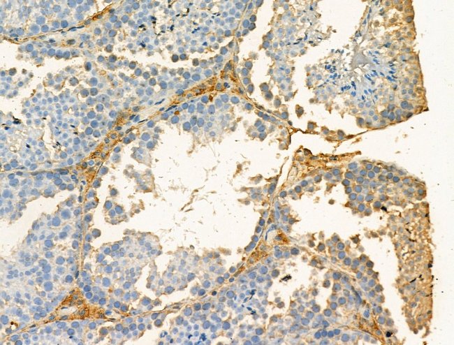
Invitrogen™ GOLGA4 Polyclonal Antibody

Rabbit Polyclonal Antibody
Supplier: Invitrogen™ PA5115310
Description
Antibody detects endogenous levels of total Golgin subfamily A member 4.
The Golgi apparatus, which participates in glycosylation and transport of proteins and lipids in the secretory pathway, consists of a series of stacked cisternae (flattened membrane sacs). Interactions between the Golgi and microtubules are thought to be important for the reorganization of the Golgi after it fragments during mitosis. This gene encodes one of the golgins, a family of proteins localized to the Golgi. This protein has been postulated to play a role in Rab6-regulated membrane-tethering events in the Golgi apparatus. Alternatively spliced transcript variants encoding different isoforms have been identified in this gene.
Specifications
GOLGA4 | |
Polyclonal | |
Unconjugated | |
GOLGA4 | |
256 kDa golgin; 72.1 protein; AI225887; AU019508; centrosome-related protein F46; CRPF46; EMBL:AAH85124.1, ECO:0000312; GCP2; GOLG; Golga4; golga4 {ECO:0000312; golgi autoantigen, golgin subfamily a, 4; golgin A4; Golgin subfamily A member 4; golgin subfamily A member 4 {ECO:0000250; golgin-240; golgin-245; MU-RMS-40.18; Olp-1; p230; protein 72.1; RGD:1591925}; tGolgin-1; trans-Golgi p230; UniProtKB:Q13439} | |
Rabbit | |
Affinity chromatography | |
RUO | |
2803, 501069, 54214 | |
-20°C | |
Liquid |
Immunohistochemistry (Paraffin), Western Blot, Immunocytochemistry | |
1 mg/mL | |
PBS with 50% glycerol and 0.02% sodium azide | |
Q13439, Q5U4E6, Q91VW5 | |
GOLGA4 | |
A synthesized peptide derived from human GOLGA4(Accession Q13439), corresponding to amino acid residues Q1415-I1465. | |
100 μL | |
Primary | |
Human, Mouse, Rat | |
Antibody | |
IgG |
Product Content Correction
Your input is important to us. Please complete this form to provide feedback related to the content on this product.
Product Title
Spot an opportunity for improvement?Share a Content Correction