Learn More
Invitrogen™ GOT1 Polyclonal Antibody

Description
Immunogen sequence: RIGADFLARWY NGTNNKNTPV YVSSPTWENH NAVFSAAGFK DIRSYRYWDA EKRGLDLQGF LNDLENAPEF SIVVLH Highest antigen sequence identity to the following orthologs - mouse 92%, rat 95%.
Specifications
Specifications
| Antigen | GOT1 |
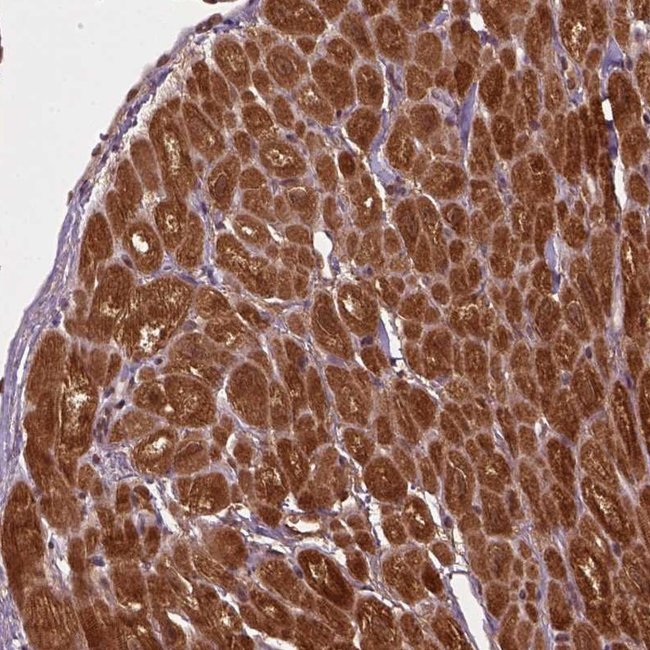
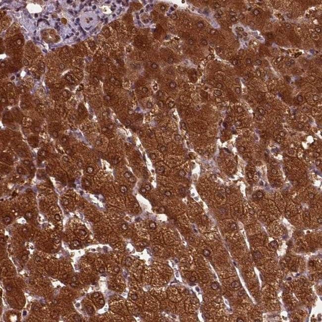
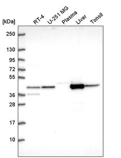
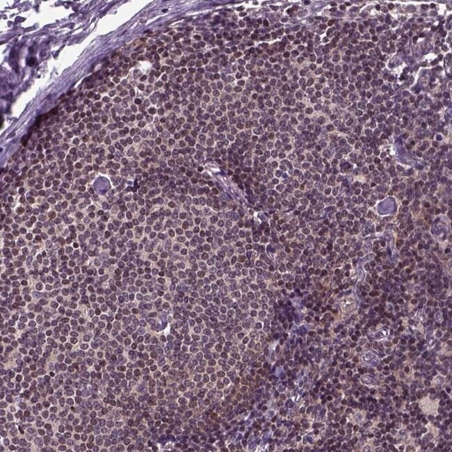
| Applications | Immunohistochemistry (Paraffin), Western Blot |
| Classification | Polyclonal |
| Concentration | 0.3 mg/mL |
| Conjugate | Unconjugated |
| Formulation | PBS with 40% glycerol and 0.02% sodium azide; pH 7.2 |
| Gene | GOT1 |
| Gene Accession No. | P17174 |
| Gene Alias | AI789014; aspartate aminotransferase 1; aspartate aminotransferase, cytoplasmic; aspartate transaminase 1; Aspat; AST1; ASTQTL1; cAspAT; cCAT; Cysteine aminotransferase, cytoplasmic; cysteine transaminase, cytoplasmic; cytosolic aspartate aminotransferase; Gaspat; GIG18; Glutamate oxaloacetate transaminase 1; glutamate oxaloacetate transaminase 1, soluble; glutamic-oxaloacetic transaminase 1; glutamic-oxaloacetic transaminase 1, soluble; glutamic-oxaloacetic transaminase 1, soluble (aspartate aminotransferase 1); GOT1; Got-1; growth-inhibiting protein 18; testis secretory sperm-binding protein Li 196a; transaminase A |
| Gene Symbols | GOT1 |
| Show More |
By clicking Submit, you acknowledge that you may be contacted by Fisher Scientific in regards to the feedback you have provided in this form. We will not share your information for any other purposes. All contact information provided shall also be maintained in accordance with our Privacy Policy.