Learn More
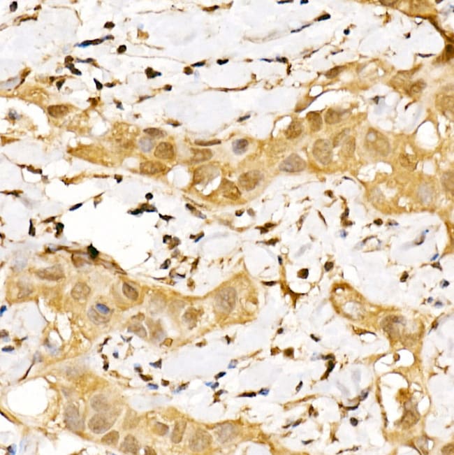
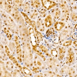
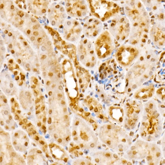
Invitrogen™ GPS1 Polyclonal Antibody

Description
Immunogen sequence: VSKAESTPEI AEQRGERDSQ TQAILTKLKC AAGLAELAAR KYKQAAKCLL LASFDHCDFP ELLSPSNVAI YGGLCALATF DRQELQRNVI SSSSFKLFLE LEPQVRDIIF KFYESKYASC LKMLDEMKDN LLLDMYLAPH VRTLYTQIRN RALIQYFSPY VSADMHRMAA AFNTTVAALE DELTQLILEG LISARVDSHS KILYARDVDQ RSTTFEKSLL MGKEFQRRAK AMMLRAAVLR NQIHVKSPPR EGSQGELTPA NSQSRMSTNM.
Specifications
Specifications
| Antigen | GPS1 |
| Applications | ELISA, Immunohistochemistry (Paraffin), Western Blot, Immunocytochemistry |
| Classification | Polyclonal |
| Concentration | 0.47 mg/mL |
| Conjugate | Unconjugated |
| Formulation | PBS with 50% glycerol and 0.02% sodium azide; pH 7.3 |
| Gene | GPS1 |
| Gene Accession No. | P97834, Q13098, Q99LD4 |
| Gene Alias | COP9 signalosome complex subunit 1; Cops1; CSN1; G protein pathway suppressor 1; Gps1; GPS-1; JAB1-containing signalosome subunit 1; MFH; MFH protein; MGC71287; Protein MFH; R75577; SGN1; signalosome subunit 1 |
| Gene Symbols | GPS1 |
| Show More |
By clicking Submit, you acknowledge that you may be contacted by Fisher Scientific in regards to the feedback you have provided in this form. We will not share your information for any other purposes. All contact information provided shall also be maintained in accordance with our Privacy Policy.