Learn More
Invitrogen™ GPX1 Monoclonal Antibody (A6-C0-B9)

Description
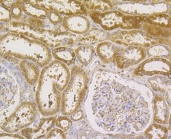
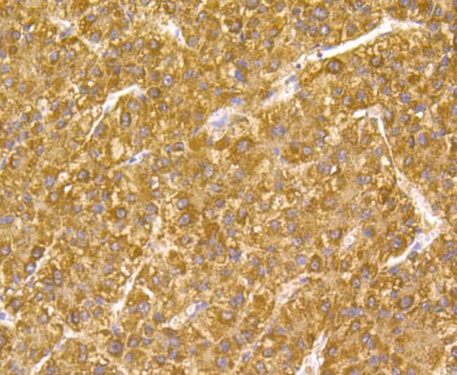
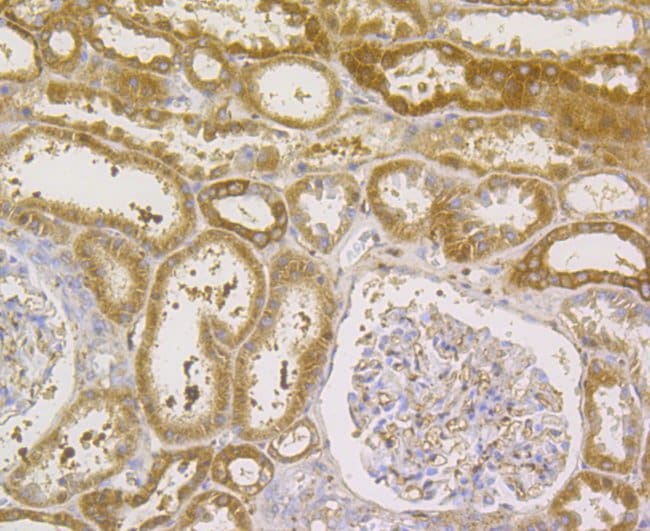
Positive Control: THP-1, human liver tissue, human kidney tissue, HepG2.
Specifications
Specifications
| Antigen | GPX1 |
| Applications | Flow Cytometry, Immunohistochemistry (Paraffin), Western Blot, Immunocytochemistry |
| Classification | Monoclonal |
| Clone | A6-C0-B9 |
| Concentration | 2 mg/mL |
| Conjugate | Unconjugated |
| Formulation | PBS with 0.2% BSA, 50% glycerol and 0.05% sodium azide; pH 7.4 |
| Gene | GPX1 |
| Gene Accession No. | P07203 |
| Gene Alias | AI195024; AL033363; Cellular glutathione peroxidase; CGPx; cytosolic glutathione peroxidase; glutathione peroxidase; glutathione peroxidase 1; Gpx; Gpx1; GPx-1; GPXD; GSHPx; GSHPX1; GSHPx-1; HGNC:4553; MGC14399; MGC88245; OTTHUMP00000210766; Selenium-dependent glutathione peroxidase 1 |
| Show More |
By clicking Submit, you acknowledge that you may be contacted by Fisher Scientific in regards to the feedback you have provided in this form. We will not share your information for any other purposes. All contact information provided shall also be maintained in accordance with our Privacy Policy.