Promotional price valid on web orders only. Your contract pricing may differ. Interested in signing up for a dedicated account number?
Learn More
Learn More
GRB10 Rabbit anti-Human, Mouse, Rat, Polyclonal, Proteintech

Rabbit Polyclonal Antibody
Supplier: Proteintech Group Inc 235911AP150UL

Description
Required for DNA recombination, repair and replication. The activity of RP-A is mediated by single-stranded DNA binding and protein interactions. Required for the efficient recruitment of the DNA double-strand break repair factor RAD51 to chromatin in response to DNA damage.Specifications
GRB10 | |
Polyclonal | |
Unconjugated | |
GRB10 | |
Grb 10, GRB IR, GRB10, GRB10 adapter protein, GRBIR, IRBP, KIAA0207, MEG1, RSS | |
Rabbit | |
Antigen Affinity Chromatography | |
RUO | |
14783, 2887, 498416 | |
-20°C | |
Liquid |
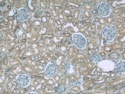
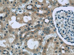
Immunocytochemistry, Immunofluorescence, Immunohistochemistry (Paraffin), Western Blot | |
0.25 mg/mL | |
PBS with 50% glycerol and 0.02% sodium azide; pH 7.3 | |
P0CE43, Q13322, Q60760 | |
GRB10 | |
GRB10 Fusion Protein Ag20355 | |
150 μL | |
Primary | |
Human, Mouse, Rat | |
Antibody | |
IgG |
Product Content Correction
The Fisher Scientific Encompass Program offers items which are not part of our distribution portfolio. These products typically do not have pictures or detailed descriptions. However, we are committed to improving your shopping experience. Please use the form below to provide feedback related to the content on this product.
Product Title
Spot an opportunity for improvement?Share a Content Correction