Promotional price valid on web orders only. Your contract pricing may differ. Interested in signing up for a dedicated account number?
Learn More
Learn More
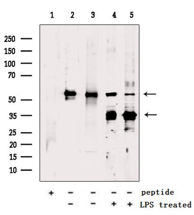
Invitrogen™ GSDMD Polyclonal Antibody

Rabbit Polyclonal Antibody
Supplier: Invitrogen™ PA5115330
Description
Antibody detects endogenous levels of total GSDMD protein, including precursor and the cleaved N-terminal fragment.
GSDMD (gasdermin-D) promotes pyroptosis in response to microbial infection and danger signals. It is produced by the cleavage of gasdermin-D by inflammatory caspases CASP1 or CASP4 in response to canonical, as well as, non-canonical (such as cytosolic LPS) inflammasome activators. After cleavage, GSDMD moves to the plasma membrane where it strongly binds to inner leaflet lipids including phosphatidylinositol 4-phosphate, phosphatidylinositol (4,5)-biphosphate, phosphatidylinositol (3,4,5)-biphosphate, phosphatidic acid, and phosphatidylserine. GSDMD also exhibits bactericidal activity.
Specifications
| GSDMD | |
| Polyclonal | |
| Unconjugated | |
| GSDMD | |
| 1810036L03Rik; AW558049; DF5L; Dfna5l; FKSG10; gasdermin D; gasdermin domain containing 1; gasdermin domain-containing protein 1; Gasdermin-D; Gasdermin-D, C-terminal; Gasdermin-D, N-terminal; GSDMD; GSDMDC1; GSDMD-CT; GSDMD-NT; M2-4 | |
| Rabbit | |
| Affinity chromatography | |
| RUO | |
| 315084, 69146, 79792 | |
| -20°C | |
| Liquid |
| Immunohistochemistry (PFA fixed), Western Blot, Immunocytochemistry | |
| 1 mg/mL | |
| PBS with 50% glycerol and 0.02% sodium azide | |
| P57764, Q9D8T2 | |
| GSDMD | |
| A synthesized peptide derived from human GSDMD(Accession P57764), corresponding to amino acid residues W50-G100. | |
| 100 μL | |
| Primary | |
| Human, Mouse, Rat | |
| Antibody | |
| IgG |
Safety and Handling
WARNING: Cancer - www.P65Warnings.ca.gov
Product Content Correction
Your input is important to us. Please complete this form to provide feedback related to the content on this product.
Product Title
Spot an opportunity for improvement?Share a Content Correction