Learn More
GSTA1 Mouse anti-Human, Mouse, Porcine, Rat, Clone: 1E1F4, Proteintech
Shop All Proteintech Group Inc Products

Description
Specifications
Specifications
| Antigen | GSTA1 |
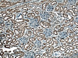
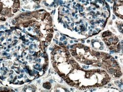
| Applications | Immunocytochemistry, Immunofluorescence, Immunohistochemistry (Paraffin), Western Blot |
| Classification | Monoclonal |
| Clone | 1E1F4 |
| Concentration | 1 mg/mL |
| Conjugate | Unconjugated |
| Formulation | PBS with 50% glycerol and 0.1% sodium azide; pH 7.3 |
| Gene | GSTA1 |
| Gene Accession No. | P00502, P08263, P13745, P51781 |
| Gene Alias | Glutathione S transferase A1, GST class alpha member 1, GST epsilon, GST HA subunit 1, GST2, GSTA1, GSTA1 1, GTH1 |
| Show More |
By clicking Submit, you acknowledge that you may be contacted by Fisher Scientific in regards to the feedback you have provided in this form. We will not share your information for any other purposes. All contact information provided shall also be maintained in accordance with our Privacy Policy.