Promotional price valid on web orders only. Your contract pricing may differ. Interested in signing up for a dedicated account number?
Learn More

GTF2IRD/TFII-IRD1 Rabbit anti-Human, Polyclonal, Bethyl Laboratories

Catalog No. 501560115
Encompass_Preferred
Change view
Click to view available options
Quantity:
100 μL
1 product options available for selection
Product selection table with 1 available options. Use arrow keys to navigate and Enter or Space to select.
Catalog No. Quantity
50-156-0115 100 μL
Use arrow keys to navigate between rows. Press Enter or Space to select a product option. 1 options available.
1 options
Catalog No. 50-156-0115 Supplier Bethyl Laboratories, Inc Supplier No. A301333A
Only null left
Add to Cart
Add to Cart

Rabbit Polyclonal Antibody

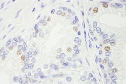
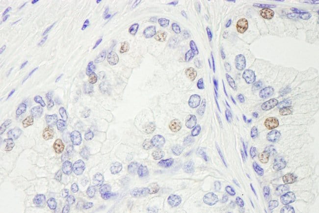
The recommended shelf life for this product is 1 year from date of receipt. Application Note: For IHC, epitope retrieval with citrate buffer pH 6.0 is recommended for FFPE tissue sections.

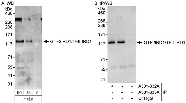
Williams-Beuren syndrome (WBS) is a developmental disorder caused by the hemizygous microdeletion on chromosome 7q11.23. WBS is an autosomal domit genetic condition that is characterized by physical, cognitive and behavioral traits. The physical traits associated with WBS include facial dysmorphology, vascular stenoses, growth deficiencies, dental anomalies and neurologic and musculoskeletal abnormalities. Mild retardation, a weakness in visual-spatial skills, anxiety and a short attention span are typical cognitive and behavioral traits of WBS patients. The WBSCR11 gene is located within the WBS deletion and may contribute to the developmental symptoms found in WBS because of a loss of the encoded transcription factor. WBSCR11 is also designated GRF2IRD1, GTF3, Cream1 and MusTRD1 in human and BEN in mouse, due to slight differences in gene structure. WBSCR11 is expressed in all adult tissues as several variants and has discrete spatial and temporal expression during embryogenesis.

Specifications

Antigen GTF2IRD/TFII-IRD1
Applications Immunohistochemistry, Immunoprecipitation, Western Blot
Classification Polyclonal
Concentration 0.2 mg/ml
Conjugate Unconjugated
Formulation TBS with 0.1% BSA and 0.09% sodium azide
Gene GTF2IRD1
Gene Accession No. Q9UHL9
Gene Alias General transcription factor II-I repeat domain-containing protein 1, GTF2I repeat domain-containing protein 1, General transcription factor III, MusTRD1/BEN, Muscle TFII-I repeat domain-containing protein 1, Slow-muscle-fiber enhancer-binding protein, USE B1-binding protein, Williams-Beuren syndrome chromosomal region 11 protein, Williams-Beuren syndrome chromosomal region 12 protein, GTF2IRD1, CREAM1, GTF3, MUSTRD1, RBAP2, WBSCR11, WBSCR12
Gene Symbols GTF2IRD1
Host Species Rabbit
Immunogen Between 909 and 959
Purification Method Antigen affinity chromatography
Quantity 100 μL
Regulatory Status RUO
Primary or Secondary Primary
Gene ID (Entrez) 9569
Target Species Human
Content And Storage 4° C
Product Type Antibody
Form Liquid
Isotype IgG
Show More Show Less
Product Title
Select an issue

By clicking Submit, you acknowledge that you may be contacted by Fisher Scientific in regards to the feedback you have provided in this form. We will not share your information for any other purposes. All contact information provided shall also be maintained in accordance with our Privacy Policy.