Learn More
HDAC3 Rabbit anti-Human, Mouse, Polyclonal, Bethyl Laboratories
Rabbit Polyclonal Antibody
Supplier: Bethyl Laboratories, Inc A300464A

Description
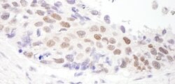
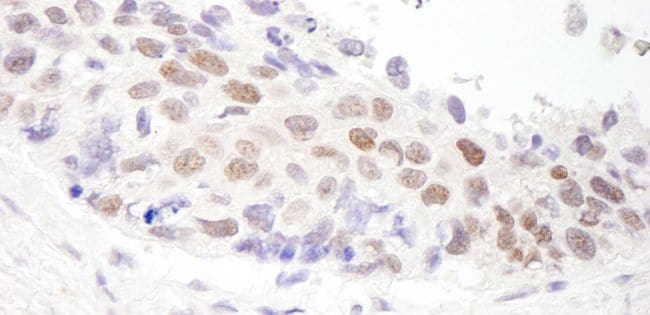
The recommended shelf life for this product is 1 year from date of receipt. Application Note: For IHC, epitope retrieval with Tris-EDTA pH 9.0 is recommended for FFPE tissue sections. Based on 100% sequence identity, this antibody is predicted to react with Rat and Orangutan
Histones play a critical role in transcriptional regulation, cell cycle progression, and developmental events. Histone acetylation/deacetylation alters chromosome structure and affects transcription factor access to DNA. HDAC3 belongs to the histone deacetylase/acuc/apha family. It has histone deacetylase activity and represses transcription when tethered to a promoter. It may participate in the regulation of transcription through its binding with the zinc-finger transcription factor YY1. This protein can also down-regulate p53 function and thus modulate cell growth and apoptosis. This gene is regarded as a potential tumor suppressor gene.Specifications
HDAC3 | |
Polyclonal | |
Unconjugated | |
HDAC3 | |
Histone Deacetylase 3 | |
Rabbit | |
Antigen affinity chromatography | |
RUO | |
15183, 8841 | |
4° C | |
Liquid |
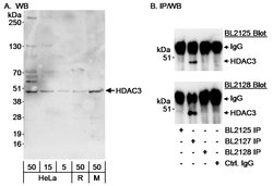
Immunohistochemistry, Immunoprecipitation, Western Blot | |
0.2 mg/ml | |
TBS with 0.1% BSA and 0.09% sodium azide | |
O15379, O88895 | |
HDAC3 | |
Between 375 and C-term | |
100 μL | |
Primary | |
Human, Mouse | |
Antibody | |
IgG |
The Fisher Scientific Encompass Program offers items which are not part of our distribution portfolio. These products typically do not have pictures or detailed descriptions. However, we are committed to improving your shopping experience. Please use the form below to provide feedback related to the content on this product.