Promotional price valid on web orders only. Your contract pricing may differ. Interested in signing up for a dedicated account number?
Learn More

HDAC7 Rabbit anti-Human, Polyclonal, Bethyl Laboratories

Rabbit Polyclonal Antibody

Supplier:  Bethyl Laboratories, Inc A301384A

Encompass_Preferred

Catalog No. 50-156-0244


May include imposed supplier surcharges.
Only null left
Add to Cart

Description

Description

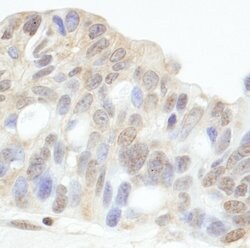
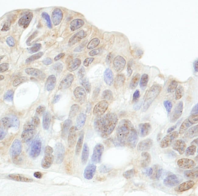
The recommended shelf life for this product is 1 year from date of receipt. Application Note: For IHC, epitope retrieval with citrate buffer pH 6.0 is recommended for FFPE tissue sections.

Histone deacetylase (HDAC) and histone acetyltransferase (HAT) are enzymes that regulate transcription by selectively deacetylating or acetylating the eta-amino groups of lysines located near the amino termini of core histone proteins (1). Eight members of HDAC family have been identified in the past several years (2,3). These HDAC family members are divided into two classes, I and II. Class I of the HDAC family comprises four members, HDAC-1, 2, 3, and 8, each of which contains a deacetylase domain exhibiting from 45 to 93% identity in amino acid sequence. Class II of the HDAC family comprises HDAC-4, 5, 6, and 7, the molecular weights of which are all about two-fold larger than those of the class I members, and the deacetylase domains are present within the C-terminal regions, except that HDAC-6 contains two copies of the domain, one within each of the N-terminal and C-terminal regions. Human HDAC-1, 2 and 3 were expressed in various tissues, but the others (HDAC-4, 5, 6, and 7) showed tissue-specific expression patterns (3). These results suggested that each member of the HDAC family exhibits a different, individualsubstrate specificity and function in vivo.
Specifications

Specifications

HDAC7
Polyclonal
Unconjugated
HDAC7
Histone deacetylase 7
Rabbit
Antigen affinity chromatography
RUO
51564
4° C
Liquid
Immunohistochemistry, Western Blot
1 mg/ml
phosphate, tris citrate with 0.09% sodium azide; pH 7-8
Q8WUI4
HDAC7
Between 425 and 475
100 μL
Primary
Human
Antibody
IgG
Product Suggestions

Product Suggestions

Videos
SDS
Documents

Documents

Product Certifications
Promotions

Promotions

Product Content Correction

The Fisher Scientific Encompass Program offers items which are not part of our distribution portfolio. These products typically do not have pictures or detailed descriptions. However, we are committed to improving your shopping experience. Please use the form below to provide feedback related to the content on this product.

Product Title

By clicking Submit, you acknowledge that you may be contacted by Fisher Scientific in regards to the feedback you have provided in this form. We will not share your information for any other purposes. All contact information provided shall also be maintained in accordance with our Privacy Policy.

Your feedback has been submitted: Thank you for helping us improve our website.