Learn More
Invitrogen™ HEF1 Polyclonal Antibody

Description
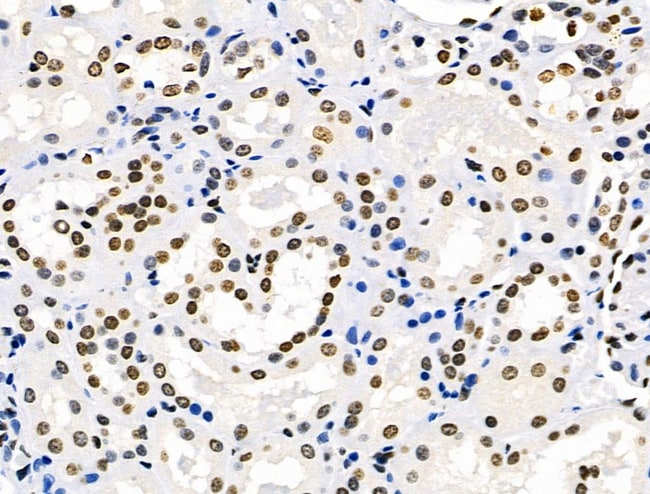
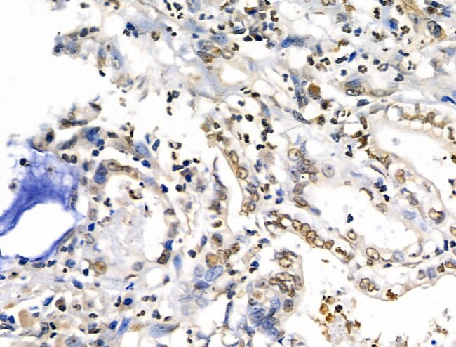
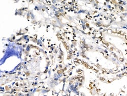
Antibody detects endogenous levels of total NEDD9.
Specifications
Specifications
| Antigen | HEF1 |
| Applications | Immunohistochemistry (Paraffin), Western Blot |
| Classification | Polyclonal |
| Concentration | 1 mg/mL |
| Conjugate | Unconjugated |
| Formulation | PBS with 50% glycerol and 0.02% sodium azide; pH 7.4 |
| Gene | NEDD9 |
| Gene Accession No. | O35177, Q14511 |
| Gene Alias | Cas scaffolding protein family member 2; CAS2; CASL; CAS-L; cas-like docking; CASS2; Crk-associated substrate lymphocyte-specific protein; Crk-associated substrate related protein Cas-L; CRK-associated substrate-related protein; dJ49G10.2; dJ761I2.1; Enhancer of filamentation 1; Enhancer of filamentation 1 p55; HEF1; mEF1; Nedd9; NEDD-9; Neural precursor cell expressed developmentally down-regulated protein 9; neural precursor cell expressed, developmentally down-regulated 9; neural precursor cell expressed, developmentally down-regulated gene 9; p105; p130Cas-related protein; renal carcinoma antigen NY-REN-12 |
| Gene Symbols | NEDD9 |
| Show More |
Safety and Handling
By clicking Submit, you acknowledge that you may be contacted by Fisher Scientific in regards to the feedback you have provided in this form. We will not share your information for any other purposes. All contact information provided shall also be maintained in accordance with our Privacy Policy.