Learn More
Invitrogen™ HERC5 Polyclonal Antibody

Description
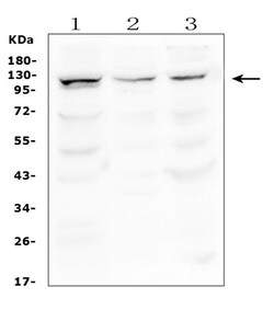
Reconstitute with 0.2 mL of distilled water to yield a concentration of 500 μg/mL. Positive Control - WB: human 293T whole cell, human A549 whole cell, human PC-3 whole cell. ICC/IF: U2OS cell. Store at -20°C for one year from date of receipt. After reconstitution, at 4°C for one month. It can also be aliquotted and stored frozen at -20°C for six months. Avoid repeated freeze-thaw cycles.
Specifications
Specifications
| Antigen | HERC5 |
| Applications | ELISA, Western Blot, Immunocytochemistry |
| Classification | Polyclonal |
| Concentration | 500 μg/mL |
| Conjugate | Unconjugated |
| Formulation | PBS with 4mg trehalose and no preservative |
| Gene | HERC5 |
| Gene Accession No. | Q9UII4 |
| Gene Alias | CEB1; CEBP1; Cyclin-E-binding protein 1; E3 ISG15--protein ligase HERC5; HECT and RLD domain containing E3 ubiquitin protein ligase 5; HECT domain and RCC1-like domain-containing protein 5; hect domain and RLD 5; HERC5; probable E3 ubiquitin-protein ligase HERC5 |
| Gene Symbols | HERC5 |
| Show More |
By clicking Submit, you acknowledge that you may be contacted by Fisher Scientific in regards to the feedback you have provided in this form. We will not share your information for any other purposes. All contact information provided shall also be maintained in accordance with our Privacy Policy.