Promotional price valid on web orders only. Your contract pricing may differ. Interested in signing up for a dedicated account number?
Learn More

HMG2a Rabbit anti-Human, Mouse, Polyclonal, Bethyl Laboratories

Catalog No. 501558336
Encompass_Preferred
Change view
Click to view available options
Quantity:
100 μL
1 product options available for selection
Product selection table with 1 available options. Use arrow keys to navigate and Enter or Space to select.
Catalog No. Quantity
50-155-8336 100 μL
Use arrow keys to navigate between rows. Press Enter or Space to select a product option. 1 options available.
1 options
Catalog No. 50-155-8336 Supplier Bethyl Laboratories, Inc Supplier No. A300736A
Only null left
Add to Cart
Add to Cart

Rabbit Polyclonal Antibody

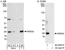
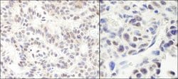
The recommended shelf life for this product is 1 year from date of receipt. Application Note: For IHC, epitope retrieval with citrate buffer pH 6.0 is recommended for FFPE tissue sections.

HMGB3 (HMG4) belongs to the high mobility group protein superfamily. Like HMG1 and HMG2 , HMGB3 contains DNA-binding HMG box domains and is classified into the HMG box subfamily. Members of the HMG box subfamily are thought to play a fundamental role in DNA replication, nucleosome assembly and transcription .

Specifications

Antigen HMG2a
Applications Immunohistochemistry, Immunoprecipitation, Western Blot
Classification Polyclonal
Concentration 0.2 mg/ml
Conjugate Unconjugated
Formulation TBS with 0.1% BSA and 0.09% sodium azide
Gene HMGB3
Gene Accession No. O15347, O54879
Gene Alias high mobility group protein 2a, High mobility group protein 4, high-mobility group (nonhistone chromosomal) protein 4, HMG2A, HMG-2a, HMG4, HMG-4, MGC90319, non-histone chromosomal protein
Gene Symbols HMGB3
Host Species Rabbit
Immunogen Between 125 and 175
Purification Method Antigen affinity chromatography
Quantity 100 μL
Regulatory Status RUO
Primary or Secondary Primary
Gene ID (Entrez) 15354, 3149
Target Species Human, Mouse
Content And Storage 4° C
Product Type Antibody
Form Liquid
Isotype IgG
Show More Show Less
Product Title
Select an issue

By clicking Submit, you acknowledge that you may be contacted by Fisher Scientific in regards to the feedback you have provided in this form. We will not share your information for any other purposes. All contact information provided shall also be maintained in accordance with our Privacy Policy.