Promotional price valid on web orders only. Your contract pricing may differ. Interested in signing up for a dedicated account number?
Learn More
Learn More
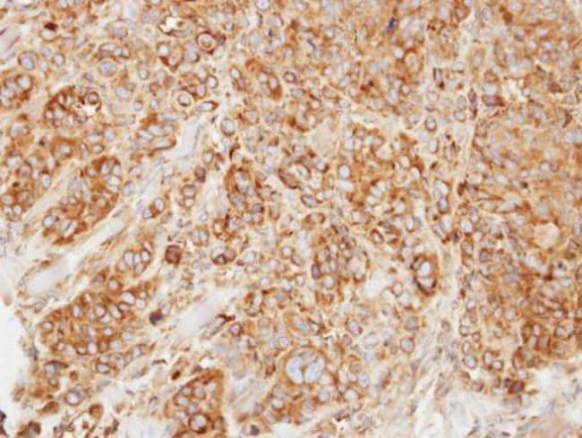
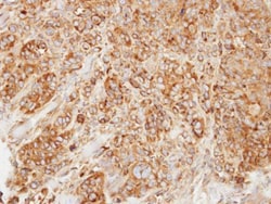
Invitrogen™ HMGCL Polyclonal Antibody

Rabbit Polyclonal Antibody
Supplier: Invitrogen™ PA521996
Description
Recommended positive controls: H1299, mouse liver, rat liver. Predicted reactivity: Mouse (88%), Rat (88%), Bovine (88%). Store product as a concentrated solution. Centrifuge briefly prior to opening the vial.
The protein encoded by this gene belongs to the HMG-CoA lyase family. It is a mitochondrial enzyme that catalyzes the final step of leucine degradation and plays a key role in ketone body formation. Mutations in this gene are associated with HMG-CoA lyase deficiency. Alternatively spliced transcript variants encoding different isoforms have been found for this gene.
Specifications
| HMGCL | |
| Polyclonal | |
| Unconjugated | |
| HMGCL | |
| 3-hydroxy-3-methylglutarate-CoA lyase; 3-hydroxy-3-methylglutaryl-CoA lyase; 3-hydroxy-3-methylglutaryl-Coenzyme A lyase; 3-hydroxymethyl-3-methylglutaryl-CoA lyase; 3-hydroxymethyl-3-methylglutaryl-Coenzyme A lyase; AW476067; HL; Hmgcl; HMG-CoA lyase; hydroxymethylglutaricaciduria; hydroxymethylglutaryl-CoA lyase, mitochondrial; mitochondrial 3-hydroxy-3-methylglutaryl-CoA lyase | |
| Rabbit | |
| Antigen affinity chromatography | |
| RUO | |
| 15356, 3155, 79238 | |
| Store at 4°C short term. For long term storage, store at -20°C, avoiding freeze/thaw cycles. | |
| Liquid |
| Immunohistochemistry (Paraffin), Western Blot, Immunocytochemistry | |
| 1 mg/mL | |
| 0.1M tris glycine with 10% glycerol and 0.01% thimerosal; pH 7 | |
| P35914, P38060, P97519 | |
| HMGCL | |
| Full length human HMGCL Recombinant protein. | |
| 100 μL | |
| Primary | |
| Human, Mouse, Rat | |
| Antibody | |
| IgG |
Product Content Correction
Your input is important to us. Please complete this form to provide feedback related to the content on this product.
Product Title
Spot an opportunity for improvement?Share a Content Correction