Promotional price valid on web orders only. Your contract pricing may differ. Interested in signing up for a dedicated account number?
Learn More

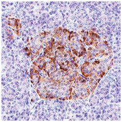
Human IGFBP-rp1/IGFBP-7 Antibody, R&D Systems™
GREENER_CHOICE

Catalog No. p-7083247
Change view
Click to view available options
Quantity:
100 μg
25 μg
2 product options available for selection
Product selection table with 2 available options. Use arrow keys to navigate and Enter or Space to select.
Catalog No. Quantity
MAB13341SP 25 μg
MAB13341100 100 μg
Use arrow keys to navigate between rows. Press Enter or Space to select a product option. 2 options available.
2 options
This item is not returnable. View return policy
Catalog No. MAB13341SP Supplier R&D Systems Supplier No. MAB13341SP
Only null left
Add to Cart
Add to Cart
This item is not returnable. View return policy

Goat Monoclonal Antibody

IGFBP-rp1/IGFBP-7 Monoclonal specifically detects IGFBP-rp1/IGFBP-7 in Human samples. It is validated for Immunohistochemistry.

Specifications

Antigen IGFBP-rp1/IGFBP-7
Applications Immunohistochemistry
Classification Monoclonal
Clone 40012B
Conjugate Unconjugated
Dilution Immunohistochemistry 1-25 ug/mL
Formulation Lyophilized from a 0.2 μm filtered solution in PBS with Trehalose. *Small pack size (SP) is supplied as a 0.2 μm filtered solution in PBS.
Gene Accession No. AAA16187
Gene Alias angiomodulin, FSTL2, IBP-7, IGFBP7, IGFBP-7, IGFBP-7PGI2-stimulating factor, IGFBP-7v, IGFBPrp1, IGFBP-rP1, insulin-like growth factor binding protein 7, insulin-like growth factor-binding protein 7, Mac25, MAC25 protein, MAC25IGF-binding protein 7, Prostacyclin-stimulating factor, PSF, PSFAGM, TAF, Tumor-derived adhesion factor
Host Species Goat
Immunogen Mouse myeloma cell line NS0-derived recombinant human IGFBP-rp1 Arg98-Arg277 Accession # AAA16187
Purification Method Protein A or G purified from cell culture supernatant
Quantity 25 μg
Regulatory Status RUO
Primary or Secondary Primary
Gene ID (Entrez) 3490
Test Specificity Detects human IGFBP-rp1 in direct ELISAs.
Reconstitution Reconstitute at 0.5 mg/mL in sterile PBS.
Target Species Human
Content And Storage Use a manual defrost freezer and avoid repeated freeze-thaw cycles. 12 months from date of receipt, -20 to -70 degreesC as supplied. 1 month, 2 to 8 degreesC under sterile conditions after reconstitution. 6 months, -20 to -70 degreesC under sterile conditions after reconstitution.
Form Purified
Isotype IgG
Show More Show Less
Product Title
Select an issue

By clicking Submit, you acknowledge that you may be contacted by Fisher Scientific in regards to the feedback you have provided in this form. We will not share your information for any other purposes. All contact information provided shall also be maintained in accordance with our Privacy Policy.