Learn More
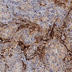
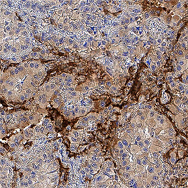
Human RAGE Antibody, R&D Systems™

Description
Specifications
Specifications
| Antigen | RAGE |
| Applications | Western Blot, Immunohistochemistry |
| Classification | Monoclonal |
| Clone | 176907 |
| Concentration | LYOPH |
| Conjugate | Unconjugated |
| Dilution | Western Blot 2 ug/mL, Immunohistochemistry 0.5-25 ug/mL |
| Formulation | Lyophilized from a 0.2 μm filtered solution in PBS with Trehalose. *Small pack size (SP) is supplied as a 0.2 μm filtered solution in PBS. with No Preservative |
| Gene Accession No. | Q15109 |
| Gene Alias | advanced glycosylation end product-specific receptor, AGER, RAGE isoform delta, RAGE isoform sRAGE-delta, Receptor for advanced glycosylation end products, receptor for advanced glycosylation end-products, SCARJ1 |
| Show More |
By clicking Submit, you acknowledge that you may be contacted by Fisher Scientific in regards to the feedback you have provided in this form. We will not share your information for any other purposes. All contact information provided shall also be maintained in accordance with our Privacy Policy.