Learn More
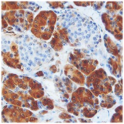
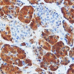
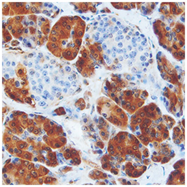
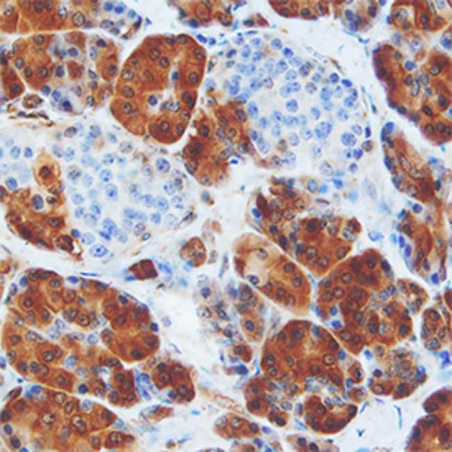
Human/Rat Lactate Dehydrogenase A/LDHA Antibody, R&D Systems™

Description
Specifications
Specifications
| Antigen | Lactate Dehydrogenase A/LDHA |
| Applications | Western Blot, Immunohistochemistry, Immunocytochemistry |
| Classification | Monoclonal |
| Clone | 2066C |
| Conjugate | Unconjugated |
| Dilution | Western Blot 0.2 ug/mL, Immunohistochemistry 3-25 ug/mL, Immunocytochemistry 3-25 ug/mL |
| Formulation | Supplied as a solution in PBS containing BSA, Glycerol and Sodium Azide. *Small pack size (SP) is supplied as a 0.2 μm filtered solution in PBS. with Sodium Azide |
| Gene Accession No. | P00338 |
| Gene Alias | Cell proliferation-inducing gene 19 protein, EC 1.1.1, EC 1.1.1.27, GSD11, lactate dehydrogenase A, lactate dehydrogenase M, LDH muscle subunit, LDH1, LDHA, LDH-A, LDHM, LDH-M, L-lactate dehydrogenase A chain, proliferation-inducing gene 19, Renal carcinoma antigen NY-REN-59 |
| Host Species | Rabbit |
| Show More |
By clicking Submit, you acknowledge that you may be contacted by Fisher Scientific in regards to the feedback you have provided in this form. We will not share your information for any other purposes. All contact information provided shall also be maintained in accordance with our Privacy Policy.