Learn More
Invitrogen™ ICAM-1 (CD54) Polyclonal Antibody

Rabbit Polyclonal Antibody
Supplier: Invitrogen™ PA579430
Description
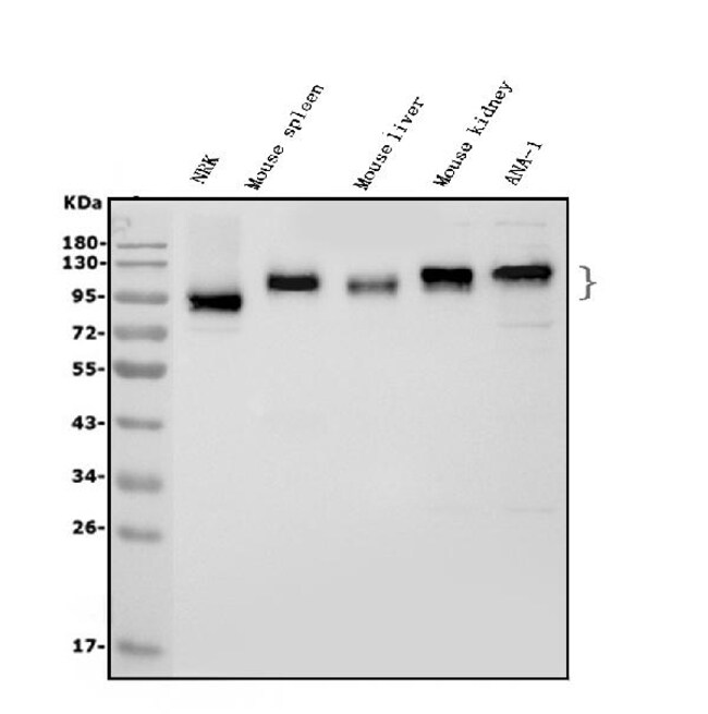
Reconstitute with 0.2 mL of distilled water to yield a concentration of 500 μg/mL. Positive Control - WB: rat NRK whole cell, mouse spleen tissue, mouse liver tissue, mouse kidney tissue, mouse ANA-1 whole cell. IHC: mouse liver tissue, mouse lung tissue, rat lung tissue, rat liver tissue.
ICAM-1 (CD54) is an 85-110 kDa single-chain type 1 integral membrane glycoprotein with an extracellular domain of five immunoglobulin superfamily repeats, a transmembrane region and a cytoplasmic domain. ICAM-1 has 7 potential N-linked glycosylation sites and shares considerable amino acid sequence homology with ICAM-3 (CD50) and ICAM-2 (CD102). ICAM-1 binds to integrins of type CD11a/CD18 (leukocyte adhesion molecule, LFA-1), or CD11b/CD18 (Mac-1) and is exploited by Rhinovirus as a receptor. ICAM-1 is expressed by activated endothelial cells and detected on epithelial cells, fibroblasts, chondrocytes, B lymphocytes, T lymphocytes (low), monocytes, macrophages, dendritic cells and neutrophils, with lower levels that increase upon inflammation. ICAM-1 is also detected in some carcinoma and melanoma cells. Soluble ICAM-1 is detectable in the plasma and is elevated in patients with various inflammatory syndromes.
Specifications
ICAM-1 (CD54) | |
Polyclonal | |
Unconjugated | |
ICAM1 | |
BB2; CD54; cell surface glycoprotein P3.58; Human rhinovirus receptor; ICAM; Icam1; ICAM-1; ICAM-1; CD54 homolog; Intercellular adhesion molecule 1; intercellular adhesion molecule 1 (CD54), human rhinovirus receptor; intercellular adhesion molecule-1; intercellular adhesion molecule-1 precursor; Ly 47; Ly-47; major group rhinovirus receptor; MALA2; MALA-2; MyD10; P3.58; sCD54; soluble CD54; Surface antigen of activated B cells | |
Rabbit | |
Antigen affinity chromatography | |
RUO | |
15894, 25464 | |
-20°C | |
Lyophilized |
Immunohistochemistry (Paraffin), Western Blot | |
500 μg/mL | |
PBS with 5mg BSA and 0.05mg sodium azide | |
P13597, Q00238 | |
ICAM1 | |
E.coli-derived mouse ICAM1 recombinant protein (Position: G198-P537). | |
100 μg | |
Primary | |
Mouse, Rat | |
Antibody | |
IgG |
Your input is important to us. Please complete this form to provide feedback related to the content on this product.