Learn More
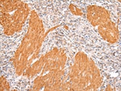
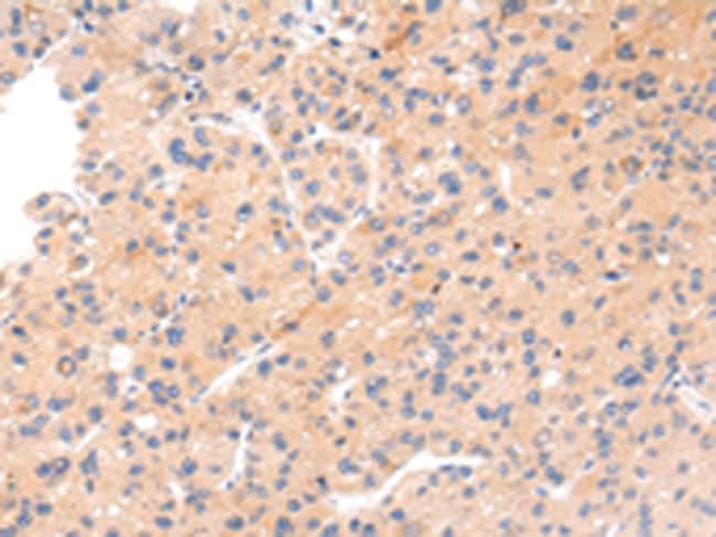
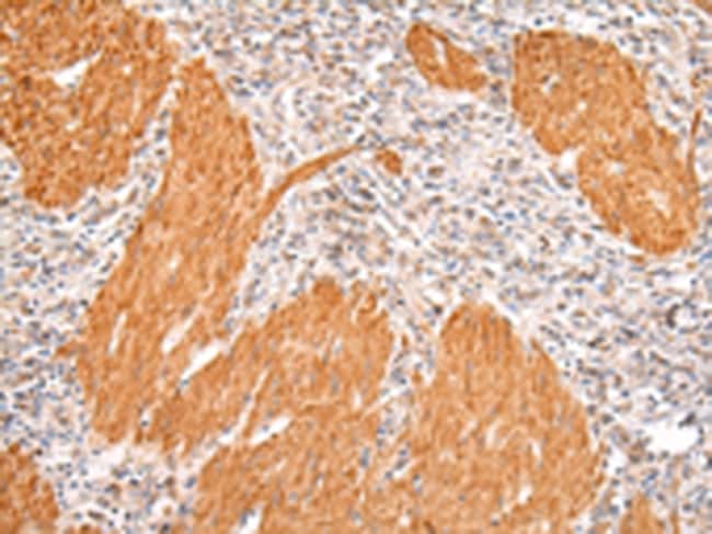
Invitrogen™ IKZF4 Polyclonal Antibody

Description
The antibody detects endogenous levels of total ZNFN1A4 protein.
Specifications
Specifications
| Antigen | IKZF4 |
| Applications | Immunohistochemistry (Paraffin) |
| Classification | Polyclonal |
| Concentration | 1 mg/mL |
| Conjugate | Unconjugated |
| Formulation | PBS with 40% glycerol and 0.05% sodium azide; pH 7.4 |
| Gene | IKZF4 |
| Gene Accession No. | Q9H2S9 |
| Gene Alias | A630026H08Rik; Eos; IKAROS family zinc finger 4; IKAROS family zinc finger 4 (Eos); ikaros family zinc finger protein 4; Ikzf4; KIAA1782; Zfpn1a4; Zinc finger protein Eos; zinc finger protein, subfamily 1A, 4; zinc finger protein, subfamily 1A, 4 (Eos); zinc finger transcription factor Eos; ZNFN1A4 |
| Gene Symbols | IKZF4 |
| Show More |
By clicking Submit, you acknowledge that you may be contacted by Fisher Scientific in regards to the feedback you have provided in this form. We will not share your information for any other purposes. All contact information provided shall also be maintained in accordance with our Privacy Policy.