Learn More
Invitrogen™ IL-12 p35 Polyclonal Antibody

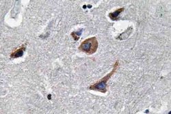
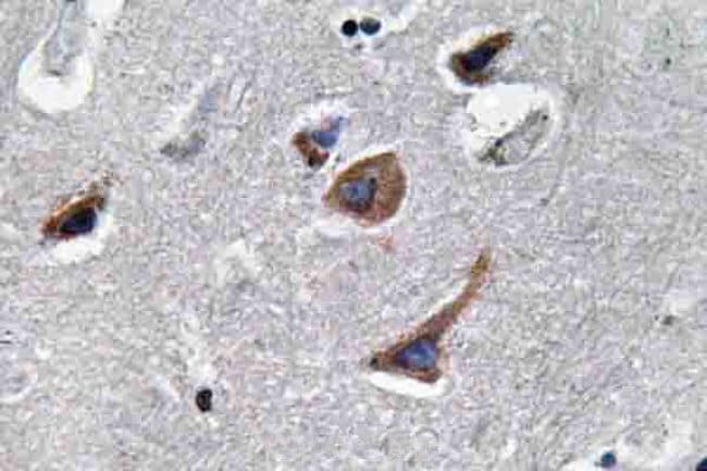
Description
Purity is > 95% by SDS-PAGE.
Specifications
Specifications
| Antigen | IL-12 p35 |
| Applications | Immunohistochemistry (Paraffin) |
| Classification | Polyclonal |
| Concentration | 1 mg/mL |
| Conjugate | Unconjugated |
| Formulation | PBS with 50% glycerol and 0.02% sodium azide; pH 7.2 |
| Gene | IL12A |
| Gene Accession No. | P29459, P43431, Q9R103 |
| Gene Alias | CLMF; CLMF p35; cytotoxic lymphocyte maturation factor 1, p35; cytotoxic lymphocyte maturation factor 35 kDa subunit; il 12; IL-12 subunit p35; IL-12, subunit p35; Il12a; IL-12A; IL12p35; IL-12p35; IL35 subunit; ILN; Interleukin; Interleukin 12; interleukin 12 p35 subunit; interleukin 12, p35; interleukin 12a; interleukin 12A (natural killer cell stimulatory factor 1, cytotoxic lymphocyte maturation factor 1, p35); Interleukin12; interleukin-12 alpha chain; interleukin-12 beta p35 subunit; interleukin-12 p35 subunit; interleukin-12 subunit alpha; Ll12a; NF cell stimulatory factor chain 1; NFSK; NK cell stimulatory factor chain 1; NKSF1; P35 |
| Gene Symbols | IL12A |
| Show More |
Safety and Handling
By clicking Submit, you acknowledge that you may be contacted by Fisher Scientific in regards to the feedback you have provided in this form. We will not share your information for any other purposes. All contact information provided shall also be maintained in accordance with our Privacy Policy.