Learn More
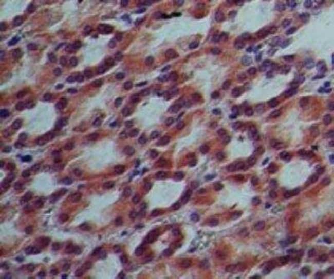
Invitrogen™ IL17RE Monoclonal Antibody (46N7E3)

Description
Immunogen sequence: MVHLLVQKSK KSSTFKFYRR HKMPAPAQRK LLPRRHLSEK SHHISIPSPD ISHKGLRSKR TQPSDPETWE SLPRLDSQRH GGPEFSFDLL PEARAIRVTI SSGPE.
Specifications
Specifications
| Antigen | IL17RE |
| Applications | Immunohistochemistry (Paraffin), Western Blot |
| Classification | Monoclonal |
| Clone | 46N7E3 |
| Concentration | 0.5 mg/mL |
| Conjugate | Unconjugated |
| Formulation | PBS with 0.05% BSA and 0.05% sodium azide |
| Gene | IL17RE |
| Gene Accession No. | Q8NFR9 |
| Gene Alias | AA589509; IL-17 receptor E; IL17RE; IL-17RE; Il25r; interleukin 17 receptor E; interleukin-17 receptor E; UNQ3056/PRO9877 |
| Show More |
By clicking Submit, you acknowledge that you may be contacted by Fisher Scientific in regards to the feedback you have provided in this form. We will not share your information for any other purposes. All contact information provided shall also be maintained in accordance with our Privacy Policy.