Promotional price valid on web orders only. Your contract pricing may differ. Interested in signing up for a dedicated account number?
Learn More
Learn More
Invitrogen™ ISG15 Polyclonal Antibody

Rabbit Polyclonal Antibody
Supplier: Invitrogen™ PA579523
Description
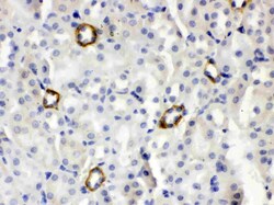
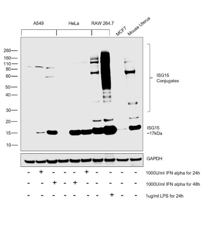
Reconstitute with 0.2 mL of distilled water to yield a concentration of 500 μg/mL. Positive Control - WB: mouse spleen tissue. IHC: mouse kidney tissue.
Ubiquitin-like protein ISG15 plays a key role in the innate immune response to viral infection either via its conjugation to a target protein (ISGylation) or via its action as a free or unconjugated protein. It is secreted from monocytes in response to type I interferons and causes natural killer (NK)-cell proliferation and an augmentation of non-MCH (major histocompatibility complex)-restricted cytotoxicity. Synthesis is stimulated by IFN-alpha or IFN-beta or IFN-omega, but not IFN-gamma. ISG15 expression is also induced by overexpression of interferon regulatory factors that participate in transcriptional regulation of IFN genes, and by influenza B virus. ISG15 is secreted by cell lines of monocyte, T-lymphocyte, B-lymphocyte, human fibroblasts, and epithelial origins. Enhancement of NK cell proliferation, augmentation of non-major histocompatibility complex-restricted cytotoxicity, and induction of IFN-gamma from T cells identify ISG15 as a member of the cytokine cascade and suggest that it may be responsible for amplifying and directing some of the immunomodulatory effects of IFN-alpha or IFN-beta. ISG15 has has also been shown to function intracellularly as a ubiquitin homolog. Mutations affecting the gene can result in Immunodeficiency 38, with basal ganglia calcification (IMD38).
Specifications
ISG15 | |
Polyclonal | |
Unconjugated | |
ISG15 | |
G1P2; hUCRP; IFI15; IGI15; IMD38; interferon, alpha-inducible protein; interferon, alpha-inducible protein (clone IFI-15K); interferon-induced 15 kDa protein; interferon-induced 15-KDa protein; interferon-induced 17 kDa protein; interferon-induced 17-kDa/15-kDa protein; interferon-stimulated protein (15 kDa); interferon-stimulated protein 15; interferon-stimulated protein, 15 kDa; IP17; Irfp; Isg15; ISG15 ubiquitin like modifier; ISG15 ubiquitin-like modifier; ubiquitin cross-reactive protein; Ubiquitin-like protein ISG15; UCRP | |
Rabbit | |
Antigen affinity chromatography | |
RUO | |
100038882 | |
-20°C | |
Lyophilized |
Immunohistochemistry (Paraffin), Western Blot, Immunocytochemistry | |
500 μg/mL | |
PBS with 5mg BSA and 0.05mg sodium azide | |
Q64339 | |
ISG15 | |
E.coli-derived mouse ISG15 recombinant protein (Position: A2-G155). | |
100 μg | |
Primary | |
Mouse | |
Antibody | |
IgG |
Safety and Handling
WARNING: Cancer - www.P65Warnings.ca.gov
Product Content Correction
Your input is important to us. Please complete this form to provide feedback related to the content on this product.
Product Title
Spot an opportunity for improvement?Share a Content Correction